别名:SGLT5; SGLT-5应用:IHC
反应种属:Human
规格:50μl/100μl
| Description |
|---|
| This gene is a member of the sodium/glucose transporter family. Members of this family are sodium-dependent transporters and can be divided into two subfamilies based on sequence homology, one that co-transports sugars and the second that transports molecules such as ascorbate, choline, iodide, lipoate, monocaroboxylates, and pantothenate. The protein encoded by this gene has the highest affinity for mannose and has been reported to be most highly expressed in the kidney. This protein may function as a kidney-specific, sodium-dependent mannose and fructose co-transporter. Alternative splicing results in multiple transcript variants that encode different protein isoforms. |
| Specification | |
|---|---|
| Aliases | SGLT5; SGLT-5 |
| Swissprot | A0PJK1 |
| Host/Isotype | Rabbit IgG |
| Storage | Store at 4°C short term. Aliquot and store at -20°C long term. Avoid freeze/thaw cycles. |
| Species Reactivity | Human |
| Immunogen | Synthetic peptide of human SLC5A10 |
| Formulation | pH7.4 PBS, 0.05% NaN3, 40% Glycerol |
| Application | |
|---|---|
| IHC | 1/20-1/100 |
| ELISA | 1/5000-1/10000 |
![]() |
The image is immunohistochemistry of paraffin-embedded Human brain tissue using P05315(SLC5A10 Antibody) at dilution 1/30. (Original magnification: ×200) |
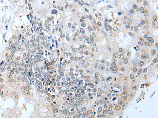
![]() |
The image is immunohistochemistry of paraffin-embedded Human colorectal cancer tissue using P05315(SLC5A10 Antibody) at dilution 1/30. (Original magnification: ×200) |
本公司的所有产品仅用于科学研究或者工业应用等非医疗目的,不可用于人类或动物的临床诊断或治疗,非药用,非食用。
暂无评论
本公司的所有产品仅用于科学研究或者工业应用等非医疗目的,不可用于人类或动物的临床诊断或治疗,非药用,非食用。
中文


发表回复