别名:NIS; TDH1应用:WB,IHC
反应种属:Human
规格:50μl/100μl
| Description |
|---|
| This gene encodes a member of the sodium glucose cotransporter family. The encoded protein is responsible for the uptake of iodine in tissues such as the thyroid and lactating breast tissue. The iodine taken up by the thyroid is incorporated into the metabolic regulators triiodothyronine (T3) and tetraiodothyronine (T4). Mutations in this gene are associated with thyroid dyshormonogenesis 1. |
| Specification | |
|---|---|
| Aliases | NIS; TDH1 |
| Swissprot | Q92911 |
| WB Predicted band size | 69 kDa |
| Host/Isotype | Rabbit IgG |
| Storage | Store at 4°C short term. Aliquot and store at -20°C long term. Avoid freeze/thaw cycles. |
| Species Reactivity | Human |
| Immunogen | Synthetic peptide of human SLC5A5 |
| Formulation | pH7.4 PBS, 0.05% NaN3, 40% Glycerol |
| Application | |
|---|---|
| WB | 1/500-1/2000 |
| IHC | 1/40-1/200 |
| ELISA | 1/5000-1/10000 |
![]() |
Gel: 8%SDS-PAGE, Lysate: 40 μg, Lane: LOVO cell lysate, Primary antibody: P04384(SLC5A5 Antibody) at dilution 1/400, Secondary antibody: Goat anti rabbit IgG at 1/5000 dilution, Exposure time: 5 seconds |
![]() |
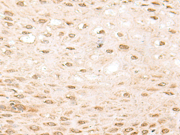
The image is immunohistochemistry of paraffin-embedded Human esophagus cancer tissue using P04384(SLC5A5 Antibody) at dilution 1/45. (Original magnification: ×200) |
![]() |
The image is immunohistochemistry of paraffin-embedded Human thyroid cancer tissue using P04384(SLC5A5 Antibody) at dilution 1/45. (Original magnification: ×200) |
本公司的所有产品仅用于科学研究或者工业应用等非医疗目的,不可用于人类或动物的临床诊断或治疗,非药用,非食用。
暂无评论
本公司的所有产品仅用于科学研究或者工业应用等非医疗目的,不可用于人类或动物的临床诊断或治疗,非药用,非食用。
中文



发表回复