别名:AIT; SMCT; SMCT1应用:IHC
反应种属:Human, Mouse
规格:50μl/100μl
| Description |
|---|
| SLC5A8 has been shown to transport iodide by a passive mechanism (Rodriguez et al., 2002 [PubMed 12107270]) and monocarboxylates and short-chain fatty acids by a sodium-coupled mechanism (Gopal et al., 2004 [PubMed 15322102]). In kidney, SLC5A8 functions as a high-affinity sodium-coupled lactate transporter involved in reabsorption of lactate and maintenance of blood lactate levels (Thangaraju et al., 2006 [PubMed 16873376]). |
| Specification | |
|---|---|
| Aliases | AIT; SMCT; SMCT1 |
| Swissprot | Q8N695 |
| Host/Isotype | Rabbit IgG |
| Storage | Store at 4°C short term. Aliquot and store at -20°C long term. Avoid freeze/thaw cycles. |
| Species Reactivity | Human, Mouse |
| Immunogen | Synthetic peptide of human SLC5A8 |
| Formulation | pH7.4 PBS, 0.05% NaN3, 40% Glycerol |
| Application | |
|---|---|
| IHC | 1/25-1/100 |
| ELISA | 1/5000-1/10000 |
![]() |
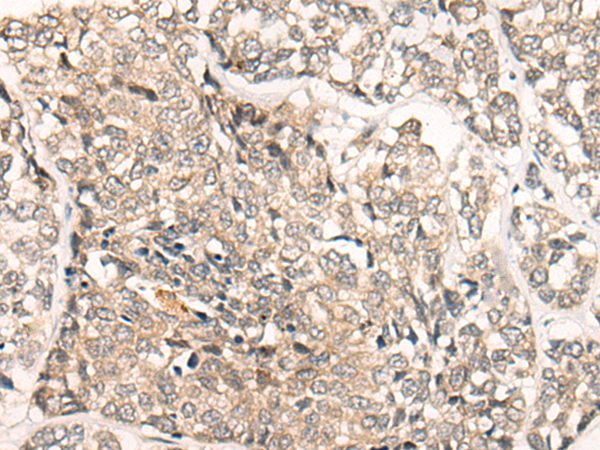
The image is immunohistochemistry of paraffin-embedded Human liver cancer tissue using P05319(SLC5A8 Antibody) at dilution 1/25. (Original magnification: ×200) |
![]() |
The image is immunohistochemistry of paraffin-embedded Human esophagus cancer tissue using P05319(SLC5A8 Antibody) at dilution 1/25. (Original magnification: ×200) |
本公司的所有产品仅用于科学研究或者工业应用等非医疗目的,不可用于人类或动物的临床诊断或治疗,非药用,非食用。
暂无评论
本公司的所有产品仅用于科学研究或者工业应用等非医疗目的,不可用于人类或动物的临床诊断或治疗,非药用,非食用。
中文


发表回复