别名:GAT1; GABATR; GABATHG应用:WB,IHC
反应种属:Human, Mouse, Rat
规格:50μl/100μl
| Description |
|---|
| The SLC6A1 gene encodes a gamma-aminobutyric acid (GABA) transporter, which removes GABA from the synaptic cleft.The cDNA contained an open reading frame encoding a hydrophobic protein of 599 amino acids with a calculated molecular weight of 67,022 daltons. Hydropathy analysis showed 12 potential transmembrane segments. The human protein is highly homologous to that from rat brain |
| Specification | |
|---|---|
| Aliases | GAT1; GABATR; GABATHG |
| Swissprot | P30531 |
| WB Predicted band size | 67 kDa |
| Host/Isotype | Rabbit IgG |
| Storage | Store at 4°C short term. Aliquot and store at -20°C long term. Avoid freeze/thaw cycles. |
| Species Reactivity | Human, Mouse, Rat |
| Immunogen | Synthetic peptide of human SLC6A1 |
| Formulation | pH7.4 PBS, 0.05% NaN3, 40% Glycerol |
| Application | |
|---|---|
| WB | 1/200-1/1000 |
| IHC | 1/25-1/100 |
| ELISA | 1/1000-1/2000 |
![]() |
Gel: 6%SDS-PAGE, Lysate: 40 μg, Lane: HepG2 cells, Primary antibody: P04889(SLC6A1 Antibody) at dilution 1/200, Secondary antibody: Goat anti rabbit IgG at 1/8000 dilution, Exposure time: 5 minutes |
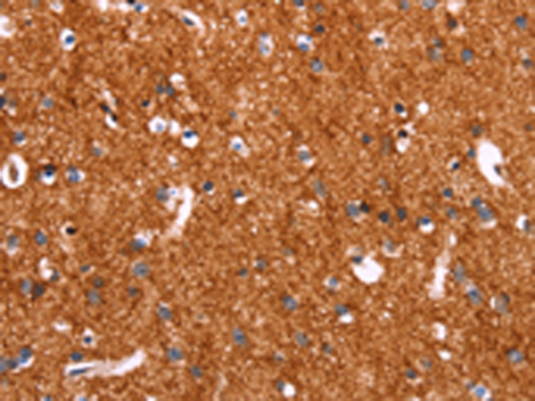
![]() |
The image is immunohistochemistry of paraffin-embedded Human brain tissue using P04889(SLC6A1 Antibody) at dilution 1/20. (Original magnification: ×200) |
![]() |
The image is immunohistochemistry of paraffin-embedded Human thyroid cancer tissue using P04889(SLC6A1 Antibody) at dilution 1/20. (Original magnification: ×200) |
本公司的所有产品仅用于科学研究或者工业应用等非医疗目的,不可用于人类或动物的临床诊断或治疗,非药用,非食用。
暂无评论
本公司的所有产品仅用于科学研究或者工业应用等非医疗目的,不可用于人类或动物的临床诊断或治疗,非药用,非食用。
中文



发表回复