别名:BRG1, SNF2, SWI2, MRD16, RTPS2, BAF190, SNF2L4, SNF2LB, hSNF2b, BAF190A应用:WB,IHC
反应种属:Human, Mouse, Rat
规格:50μl/100μl
| Description |
|---|
| The protein encoded by this gene is a member of the SWI/SNF family of proteins and is similar to the brahma protein of Drosophila. Members of this family have helicase and ATPase activities and are thought to regulate transcription of certain genes by altering the chromatin structure around those genes. The encoded protein is part of the large ATP-dependent chromatin remodeling complex SNF/SWI, which is required for transcriptional activation of genes normally repressed by chromatin. In addition, this protein can bind BRCA1, as well as regulate the expression of the tumorigenic protein CD44. Mutations in this gene cause rhabdoid tumor predisposition syndrome type 2. Multiple transcript variants encoding different isoforms have been found for this gene. |
| Specification | |
|---|---|
| Aliases | BRG1, SNF2, SWI2, MRD16, RTPS2, BAF190, SNF2L4, SNF2LB, hSNF2b, BAF190A |
| Swissprot | P51532 |
| WB Predicted band size | 185 kDa |
| Host/Isotype | Rabbit IgG |
| Storage | Store at 4°C short term. Aliquot and store at -20°C long term. Avoid freeze/thaw cycles. |
| Species Reactivity | Human, Mouse, Rat |
| Immunogen | Synthetic peptide of human SMARCA4 |
| Formulation | pH7.4 PBS, 0.05% NaN3, 40% Glycerol |
| Application | |
|---|---|
| WB | 1/200-1/1000 |
| IHC | 1/50-1/200 |
| ELISA | 1/1000-1/5000 |
![]() |
Gel: 8%SDS-PAGE, Lysate: 50 μg, Lane 1-3: K562 cells, 293T cells, hepG2 cells, Primary antibody: P03793(SMARCA4 Antibody) at dilution 1/300, Secondary antibody: Goat anti rabbit IgG at 1/8000 dilution, Exposure time: 1 minute |
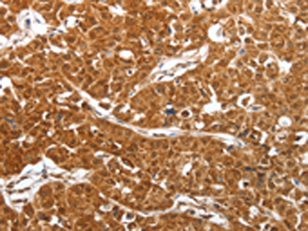
![]() |
The image is immunohistochemistry of paraffin-embedded Human thyroid cancer tissue using P03793(SMARCA4 Antibody) at dilution 1/50. (Original magnification: ×200) |
![]() |
The image is immunohistochemistry of paraffin-embedded Human lung cancer tissue using P03793(SMARCA4 Antibody) at dilution 1/50. (Original magnification: ×200) |
本公司的所有产品仅用于科学研究或者工业应用等非医疗目的,不可用于人类或动物的临床诊断或治疗,非药用,非食用。
暂无评论
本公司的所有产品仅用于科学研究或者工业应用等非医疗目的,不可用于人类或动物的临床诊断或治疗,非药用,非食用。
中文



发表回复