别名:Sphingomyelin phosphodiesterase 4, Neutral sphingomyelinase 3, nSMase-3, nSMase3, Neutral sphingomyelinase III, SMPD4, KIAA1418应用:WB,IHC
反应种属:Human
规格:50μl/100μl
| Specification | |
|---|---|
| Aliases | Sphingomyelin phosphodiesterase 4, Neutral sphingomyelinase 3, nSMase-3, nSMase3, Neutral sphingomyelinase III, SMPD4, KIAA1418 |
| Entrez GeneID | 55627 |
| Swissprot | Q9NXE4 |
| WB Predicted band size | 97.8kDa |
| Host/Isotype | Rabbit IgG |
| Storage | Store at 4°C short term. Aliquot and store at -20°C long term. Avoid freeze/thaw cycles. |
| Species Reactivity | Human |
| Immunogen | This SMPD4 antibody is generated from rabbits immunized with a KLH conjugated synthetic peptide between 80-108 amino acids from the N-terminal region of human SMPD4. |
| Formulation | Purified polyclonal antibody supplied in PBS with 0.05% sodium azide. This antibody is purified through a protein A column, followed by peptide affinity purification. |
| Application | |
|---|---|
| WB | 1/1000 |
| IHC | 1/100-1/500 |
![]() |
SMPD4 Antibody (N-term) (Cat. #P30777) western blot analysis in A2058 cell line lysates (35ug/lane).This demonstrates the SMPD4 antibody detected the SMPD4 protein (arrow). |
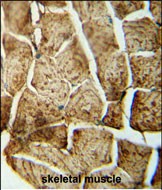
![]() |
SMPD4 antibody (N-term) (Cat. #P30777) immunohistochemistry analysis in formalin fixed and paraffin embedded human skeletal muscle followed by peroxidase conjugation of the secondary antibody and DAB staining. This data demonstrates the use of the SMPD4 antibody (N-term) for immunohistochemistry. Clinical relevance has not been evaluated. |
本公司的所有产品仅用于科学研究或者工业应用等非医疗目的,不可用于人类或动物的临床诊断或治疗,非药用,非食用。
暂无评论
本公司的所有产品仅用于科学研究或者工业应用等非医疗目的,不可用于人类或动物的临床诊断或治疗,非药用,非食用。
中文


发表回复