别名:SNAI2; SLUG; SLUGH; Zinc finger protein SNAI2; Neural crest transcription factor Slug; Protein snail homolog 2应用:WB,IHC,ICC
反应种属:Human,Mouse,Rat
规格:50μl/100μl
| Description |
|---|
| This gene encodes a member of the Snail family of C2H2-type zinc finger transcription factors. The encoded protein acts as a transcriptional repressor that binds to E-box motifs and is also likely to repress E-cadherin transcription in breast carcinoma. This protein is involved in epithelial-mesenchymal transitions and has antiapoptotic activity. Mutations in this gene may be associated with sporatic cases of neural tube defects. |
| Specification | |
|---|---|
| Aliases | SNAI2; SLUG; SLUGH; Zinc finger protein SNAI2; Neural crest transcription factor Slug; Protein snail homolog 2 |
| Entrez GeneID | 6591 |
| Swissprot | O43623 |
| WB Predicted band size | Calculated MW: 30 kDa; Observed MW: 30 kDa |
| Host/Isotype | Rabbit IgG |
| Storage | Store at 4°C short term. Aliquot and store at -20°C long term. Avoid freeze/thaw cycles. |
| Species Reactivity | Human,Mouse,Rat |
| Immunogen | Recombinant Protein of SLUG |
| Formulation | Liquid in PBS containing 50% glycerol, 0.5% BSA and 0.02% sodium azide, pH 7.3. |
| Application | |
|---|---|
| WB | 1/500-1/1000 |
| IHC | 1/50-1/100 |
| ICC | 1/50-1/200 |
![]() |
Western blot analysis of SNAI2 in MCF-7, mouse Heart, rat Heart, rat Brain lysates using SNAI2 antibody. |
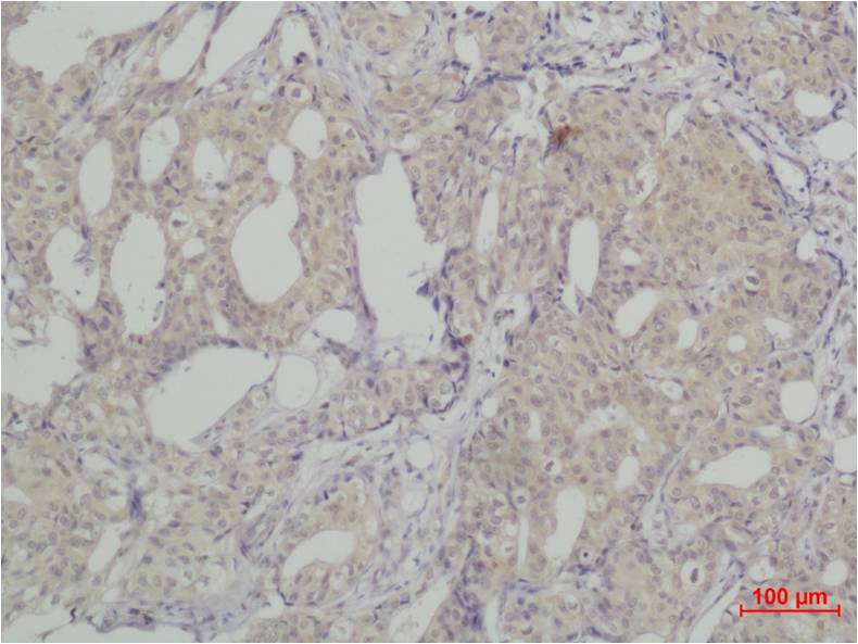
![]() |
Immunohistochemistry analysis of paraffin-embedded Human Breast caricnoma using SNAI2 antibody High-pressure and temperature Sodium Citrate pH 6.0 was used for antigen retrieval. |
本公司的所有产品仅用于科学研究或者工业应用等非医疗目的,不可用于人类或动物的临床诊断或治疗,非药用,非食用。
暂无评论
本公司的所有产品仅用于科学研究或者工业应用等非医疗目的,不可用于人类或动物的临床诊断或治疗,非药用,非食用。
中文


发表回复