别名:C16orf33应用:IHC
反应种属:Human, Mouse
规格:50μl/100μl
| Description |
|---|
| Two types of spliceosomes catalyze splicing of pre-mRNAs. The major U2-type spliceosome is found in all eukaryotes and removes U2-type introns, which represent more than 99% of pre-mRNA introns. The minor U12-type spliceosome is found in some eukaryotes and removes U12-type introns, which are rare and have distinct splice consensus signals. The U12-type spliceosome consists of several small nuclear RNAs and associated proteins. This gene encodes a 25K protein that is a component of the U12-type spliceosome. |
| Specification | |
|---|---|
| Aliases | C16orf33 |
| Swissprot | Q9BV90 |
| Host/Isotype | Rabbit IgG |
| Storage | Store at 4°C short term. Aliquot and store at -20°C long term. Avoid freeze/thaw cycles. |
| Species Reactivity | Human, Mouse |
| Immunogen | Fusion protein of human SNRNP25 |
| Formulation | pH7.4 PBS, 0.05% NaN3, 40% Glycerol |
| Application | |
|---|---|
| IHC | 1/50-1/300 |
| ELISA | 1/5000-1/10000 |
![]() |
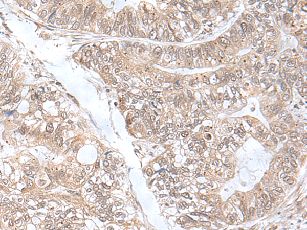
The image is immunohistochemistry of paraffin-embedded Human ovarian cancer tissue using P02819(SNRNP25 Antibody) at dilution 1/55. (Original magnification: ×200) |
![]() |
The image is immunohistochemistry of paraffin-embedded Human gastric cancer tissue using P02819(SNRNP25 Antibody) at dilution 1/55. (Original magnification: ×200) |
本公司的所有产品仅用于科学研究或者工业应用等非医疗目的,不可用于人类或动物的临床诊断或治疗,非药用,非食用。
暂无评论
本公司的所有产品仅用于科学研究或者工业应用等非医疗目的,不可用于人类或动物的临床诊断或治疗,非药用,非食用。
中文


发表回复