别名:Msl1; U2B”应用:WB,IHC
反应种属:Human, Mouse
规格:50μl/100μl
| Description |
|---|
| The protein encoded by this gene associates with stem loop IV of U2 small nuclear ribonucleoprotein (U2 snRNP) in the presence of snRNP-A’. The encoded protein may play a role in pre-mRNA splicing. Autoantibodies from patients with systemic lupus erythematosus frequently recognize epitopes on the encoded protein. Two transcript variants encoding the same protein have been found for this gene. |
| Specification | |
|---|---|
| Aliases | Msl1; U2B” |
| Swissprot | P08579 |
| WB Predicted band size | 25 kDa |
| Host/Isotype | Rabbit IgG |
| Storage | Store at 4°C short term. Aliquot and store at -20°C long term. Avoid freeze/thaw cycles. |
| Species Reactivity | Human, Mouse |
| Immunogen | Fusion protein of human SNRPB2 |
| Formulation | pH7.4 PBS, 0.05% NaN3, 40% Glycerol |
| Application | |
|---|---|
| WB | 1/1000-1/5000 |
| IHC | 1/50-1/300 |
| ELISA | 1/5000-1/10000 |
![]() |
Gel: 12%SDS-PAGE, Lysate: 40 μg, Lane: 293T cell lysate, Primary antibody: P03054(SNRPB2 Antibody) at dilution 1/1000, Secondary antibody: Goat anti rabbit IgG at 1/5000 dilution, Exposure time: 15 seconds |
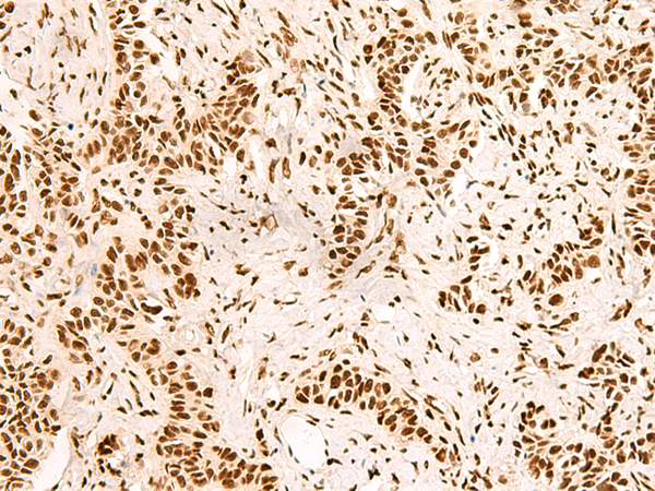
![]() |
The image is immunohistochemistry of paraffin-embedded Human ovarian cancer tissue using P03054(SNRPB2 Antibody) at dilution 1/90. (Original magnification: ×200) |
![]() |
The image is immunohistochemistry of paraffin-embedded Human esophagus cancer tissue using P03054(SNRPB2 Antibody) at dilution 1/90. (Original magnification: ×200) |
本公司的所有产品仅用于科学研究或者工业应用等非医疗目的,不可用于人类或动物的临床诊断或治疗,非药用,非食用。
暂无评论
本公司的所有产品仅用于科学研究或者工业应用等非医疗目的,不可用于人类或动物的临床诊断或治疗,非药用,非食用。
中文



发表回复