别名:SMG; Sm-G应用:WB,IHC
反应种属:Human, Mouse
规格:50μl/100μl
| Description |
|---|
| The protein encoded by this gene is a component of the U1, U2, U4, and U5 small nuclear ribonucleoprotein complexes, precursors of the spliceosome. The encoded protein may also be a part of the U7 small nuclear ribonucleoprotein complex, which participates in the processing of the 3′ end of histone transcripts. Several transcript variants encoding different isoforms have been found for this gene. |
| Specification | |
|---|---|
| Aliases | SMG; Sm-G |
| Swissprot | P62308 |
| WB Predicted band size | 8 kDa |
| Host/Isotype | Rabbit IgG |
| Storage | Store at 4°C short term. Aliquot and store at -20°C long term. Avoid freeze/thaw cycles. |
| Species Reactivity | Human, Mouse |
| Immunogen | Synthetic peptide of human SNRPG |
| Formulation | pH7.4 PBS, 0.05% NaN3, 40% Glycerol |
| Application | |
|---|---|
| WB | 1/200-1/1000 |
| IHC | 1/20-1/100 |
| ELISA | 1/5000-1/10000 |
![]() |
Gel: 12%SDS-PAGE, Lysate: 40 μg, Lane 1-2: Jurkat and 293T cell lysates, Primary antibody: P13558(SNRPG Antibody) at dilution 1/350, Secondary antibody: Goat anti rabbit IgG at 1/8000 dilution, Exposure time: 1 minute |
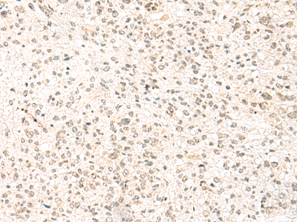
![]() |
The image is immunohistochemistry of paraffin-embedded Human liver cancer tissue using P13558(SNRPG Antibody) at dilution 1/30. (Original magnification: ×200) |
本公司的所有产品仅用于科学研究或者工业应用等非医疗目的,不可用于人类或动物的临床诊断或治疗,非药用,非食用。
暂无评论
本公司的所有产品仅用于科学研究或者工业应用等非医疗目的,不可用于人类或动物的临床诊断或治疗,非药用,非食用。
中文


发表回复