别名:Suppressor of cytokine signaling 4, SOCS-4, Suppressor of cytokine signaling 7, SOCS-7, SOCS4, SOCS7应用:WB,IHC,ICC
反应种属:Human
规格:50μl/100μl
| Description |
|---|
| The protein encoded by this gene contains a SH2 domain and a SOCS BOX domain. The protein thus belongs to the suppressor of cytokine signaling (SOCS), also known as STAT-induced STAT inhibitor (SSI), protein family. SOCS family members are known to be cytokine-inducible negative regulators of cytokine signaling. Two alternatively spliced transcript variants encoding the same protein have been found for this gene. |
| Specification | |
|---|---|
| Aliases | Suppressor of cytokine signaling 4, SOCS-4, Suppressor of cytokine signaling 7, SOCS-7, SOCS4, SOCS7 |
| Entrez GeneID | 122809 |
| Swissprot | Q8WXH5 |
| WB Predicted band size | 50.6kDa |
| Host/Isotype | Rabbit IgG |
| Storage | Store at 4°C short term. Aliquot and store at -20°C long term. Avoid freeze/thaw cycles. |
| Species Reactivity | Human |
| Immunogen | This SOCS4 antibody is generated from rabbits immunized with a KLH conjugated synthetic peptide between 227-254 amino acids from the Central region of human SOCS4. |
| Formulation | Purified polyclonal antibody supplied in PBS with 0.05% sodium azide. This antibody is purified through a protein A column, followed by peptide affinity purification. |
| Application | |
|---|---|
| WB | 1/1000 |
| IHC | 1/100-1/500 |
| ICC | 1/10-1/50 |
![]() |
Western blot analysis of lysate from MCF-7 cell line,using SOCS4 Antibody (Center)(Cat. #P32574).P32574 was diluted at 1:1000 at each lane. A goat anti-rabbit IgG H&L(HRP) at 1:5000 dilution was used as the secondary antibody.Lysate at 35ug per lane. |
![]() |
Confocal immunofluorescent analysis of SOCS4 Antibody (Center)(Cat#P32574) with A2058 cell followed by Alexa Fluor 488-conjugated goat anti-rabbit lgG (green). Actin filaments have been labeled with Alexa Fluor 555 phalloidin (red).DAPI was used to stain the cell nuclear (blue). |
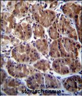
![]() |
SOCS4 Antibody (Center) (Cat. #P32574)immunohistochemistry analysis in formalin fixed and paraffin embedded human stomach tissue followed by peroxidase conjugation of the secondary antibody and DAB staining.This data demonstrates the use of SOCS4 Antibody (Center) for immunohistochemistry. Clinical relevance has not been evaluated. |
本公司的所有产品仅用于科学研究或者工业应用等非医疗目的,不可用于人类或动物的临床诊断或治疗,非药用,非食用。
暂无评论
本公司的所有产品仅用于科学研究或者工业应用等非医疗目的,不可用于人类或动物的临床诊断或治疗,非药用,非食用。
中文



发表回复