别名:NAP4; NCKAP4应用:IHC
反应种属:Human, Mouse
规格:50μl/100μl
| Description |
|---|
| The protein as regulator signaling cascades probably through protein ubiquitination and/or sequestration. It plays an important role in insulin signaling and glucose homeostasis through IRS1 ubiquitination and subsequent proteasomal degradation. Inhibits also prolactin, growth hormone and leptin signaling by preventing STAT3 and STAT5 activation, sequestering them in the cytoplasm and reducing their binding to DNA. |
| Specification | |
|---|---|
| Aliases | NAP4; NCKAP4 |
| Swissprot | O14512 |
| Host/Isotype | Rabbit IgG |
| Storage | Store at 4°C short term. Aliquot and store at -20°C long term. Avoid freeze/thaw cycles. |
| Species Reactivity | Human, Mouse |
| Immunogen | Synthetic peptide of human SOCS7 |
| Formulation | pH7.4 PBS, 0.05% NaN3, 40% Glycerol |
| Application | |
|---|---|
| IHC | 1/50-1/200 |
| ELISA | 1/2000-1/5000 |
![]() |
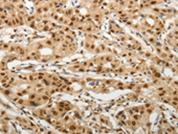
The image is immunohistochemistry of paraffin-embedded Human liver cancer tissue using P04206(SOCS7 Antibody) at dilution 1/30. (Original magnification: ×200) |
![]() |
The image is immunohistochemistry of paraffin-embedded Human lung cancer tissue using P04206(SOCS7 Antibody) at dilution 1/30. (Original magnification: ×200) |
本公司的所有产品仅用于科学研究或者工业应用等非医疗目的,不可用于人类或动物的临床诊断或治疗,非药用,非食用。
暂无评论
本公司的所有产品仅用于科学研究或者工业应用等非医疗目的,不可用于人类或动物的临床诊断或治疗,非药用,非食用。
中文


发表回复