别名:ARGBP2; PRO0618应用:WB,IHC
反应种属:Human, Mouse, Rat
规格:50μl/100μl
| Description |
|---|
| Arg and c-Abl represent the mammalian members of the Abelson family of non-receptor protein-tyrosine kinases. They interact with the Arg/Abl binding proteins via the SH3 domains present in the carboxy end of the latter group of proteins. This gene encodes the sorbin and SH3 domain containing 2 protein. It has three C-terminal SH3 domains and an N-terminal sorbin homology (SoHo) domain that interacts with lipid raft proteins. The subcellular localization of this protein in epithelial and cardiac muscle cells suggests that it functions as an adapter protein to assemble signaling complexes in stress fibers, and that it is a potential link between Abl family kinases and the actin cytoskeleton. Alternative splicing results in multiple transcript variants encoding different isoforms. |
| Specification | |
|---|---|
| Aliases | ARGBP2; PRO0618 |
| Swissprot | O94875 |
| WB Predicted band size | 124 kDa |
| Host/Isotype | Rabbit IgG |
| Storage | Store at 4°C short term. Aliquot and store at -20°C long term. Avoid freeze/thaw cycles. |
| Species Reactivity | Human, Mouse, Rat |
| Immunogen | Fusion protein of human SORBS2 |
| Formulation | pH7.4 PBS, 0.05% NaN3, 40% Glycerol |
| Application | |
|---|---|
| WB | 1/1000-1/5000 |
| IHC | 1/150-1/300 |
| ELISA | 1/5000-1/10000 |
![]() |
Gel: 6%SDS-PAGE, Lysate: 40 μg, Lane 1-3: 231, A549 and LO2 cell lysates, Primary antibody: P03204(SORBS2 Antibody) at dilution 1/1350, Secondary antibody: Goat anti rabbit IgG at 1/5000 dilution, Exposure time: 5 seconds |
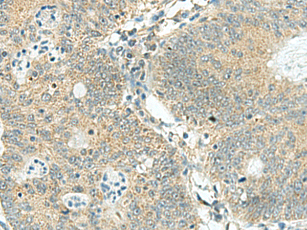
![]() |
The image is immunohistochemistry of paraffin-embedded Human liver cancer tissue using P03204(SORBS2 Antibody) at dilution 1/160. (Original magnification: ×200) |
![]() |
The image is immunohistochemistry of paraffin-embedded Human colorectal cancer tissue using P03204(SORBS2 Antibody) at dilution 1/160. (Original magnification: ×200) |
本公司的所有产品仅用于科学研究或者工业应用等非医疗目的,不可用于人类或动物的临床诊断或治疗,非药用,非食用。
暂无评论
本公司的所有产品仅用于科学研究或者工业应用等非医疗目的,不可用于人类或动物的临床诊断或治疗,非药用,非食用。
中文



发表回复