别名:SPARC-like protein 1, High endothelial venule protein, Hevin, MAST 9, SPARCL1应用:WB,IHC
反应种属:Human
规格:50μl/100μl
| Specification | |
|---|---|
| Aliases | SPARC-like protein 1, High endothelial venule protein, Hevin, MAST 9, SPARCL1 |
| Entrez GeneID | 8404 |
| Swissprot | Q14515 |
| WB Predicted band size | 75.2kDa |
| Host/Isotype | Rabbit IgG |
| Storage | Store at 4°C short term. Aliquot and store at -20°C long term. Avoid freeze/thaw cycles. |
| Species Reactivity | Human |
| Immunogen | This SPARCL1 antibody is generated from rabbits immunized with a KLH conjugated synthetic peptide between 208-236 amino acids from the Central region of human SPARCL1. |
| Formulation | Purified polyclonal antibody supplied in PBS with 0.05% sodium azide. This antibody is purified through a protein A column, followed by peptide affinity purification. |
| Application | |
|---|---|
| WB | 1/1000 |
| IHC | 1/100-1/500 |
![]() |
SPARCL1 Antibody (Center) (Cat. #P30741) western blot analysis in NCI-H460 cell line lysates (35ug/lane).This demonstrates the SPARCL1 antibody detected the SPARCL1 protein (arrow). |
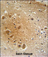
![]() |
SPARCL1 antibody (Center) (Cat. #P30741) immunohistochemistry analysis in formalin fixed and paraffin embedded human brain tissue followed by peroxidase conjugation of the secondary antibody and DAB staining. This data demonstrates the use of the SPARCL1 antibody (Center) for immunohistochemistry. Clinical relevance has not been evaluated. |
本公司的所有产品仅用于科学研究或者工业应用等非医疗目的,不可用于人类或动物的临床诊断或治疗,非药用,非食用。
暂无评论
本公司的所有产品仅用于科学研究或者工业应用等非医疗目的,不可用于人类或动物的临床诊断或治疗,非药用,非食用。
中文


发表回复