别名:应用:WB,IHC
反应种属:Human
规格:50μl/100μl
| Description |
|---|
| SPATA5L1 (spermatogenesis-associated protein 5-like protein 1) is a 753 amino acid protein belonging to the AAA ATPase family and AFG2 subfamily. Single nucleotide polymorphisms (SNPs) present in SPATA5L1 at the glycine amidinotransferase (GATM)-SPATA5L1 locus have been found to correlate with glomerular filtration rate (GFR), having significant implications for kidney disease research. SPATA5L1 localizes to cytoplasm and exists as three alternatively spliced isoforms. |
| Specification | |
|---|---|
| Swissprot | Q9BVQ7 |
| WB Predicted band size | 81 kDa |
| Host/Isotype | Rabbit IgG |
| Storage | Store at 4°C short term. Aliquot and store at -20°C long term. Avoid freeze/thaw cycles. |
| Species Reactivity | Human |
| Immunogen | Synthetic peptide of human SPATA5L1 |
| Formulation | pH7.4 PBS, 0.05% NaN3, 40% Glycerol |
| Application | |
|---|---|
| WB | 1/200-1/1000 |
| IHC | 1/25-1/100 |
| ELISA | 1/1000-1/2000 |
![]() |
Gel: 6%SDS-PAGE, Lysate: 40 μg, Lane 1-2: A549 cells, A172 cells, Primary antibody: P12237(SPATA5L1 Antibody) at dilution 1/200, Secondary antibody: Goat anti rabbit IgG at 1/8000 dilution, Exposure time: 2 minutes |
![]() |
The image is immunohistochemistry of paraffin-embedded Human brain tissue using P12237(SPATA5L1 Antibody) at dilution 1/20. (Original magnification: ×200) |
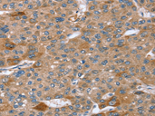
![]() |
The image is immunohistochemistry of paraffin-embedded Human liver cancer tissue using P12237(SPATA5L1 Antibody) at dilution 1/20. (Original magnification: ×200) |
本公司的所有产品仅用于科学研究或者工业应用等非医疗目的,不可用于人类或动物的临床诊断或治疗,非药用,非食用。
暂无评论
本公司的所有产品仅用于科学研究或者工业应用等非医疗目的,不可用于人类或动物的临床诊断或治疗,非药用,非食用。
中文



发表回复