别名:Leukosialin, Galactoglycoprotein, GALGP, Leukocyte sialoglycoprotein, Sialophorin, CD43, SPN, CD43应用:WB,IHC
反应种属:Human
规格:50μl/100μl
| Description |
|---|
| Sialophorin (leukosialin) is a major sialoglycoprotein on the surface of human T lymphocytes, monocytes, granulocytes, and some B lymphocytes, which appears to be important for immune function and may be part of a physiologic ligand-receptor complex involved in T-cell activation. |
| Specification | |
|---|---|
| Aliases | Leukosialin, Galactoglycoprotein, GALGP, Leukocyte sialoglycoprotein, Sialophorin, CD43, SPN, CD43 |
| Entrez GeneID | 6693 |
| Swissprot | P16150 |
| WB Predicted band size | 40.3kDa |
| Host/Isotype | Rabbit IgG |
| Storage | Store at 4°C short term. Aliquot and store at -20°C long term. Avoid freeze/thaw cycles. |
| Species Reactivity | Human |
| Immunogen | This SPN/CD43 antibody is generated from rabbits immunized with a KLH conjugated synthetic peptide between 230-257 amino acids from the Central region of human SPN/CD43. |
| Formulation | Purified polyclonal antibody supplied in PBS with 0.05% sodium azide. This antibody is purified through a protein A column, followed by peptide affinity purification. |
| Application | |
|---|---|
| WB | 1/1000 |
| IHC | 1/100-1/500 |
![]() |
SPN/CD43 Antibody (Center) (Cat. #P31395) western blot analysis in Jurkat cell line lysates (35ug/lane).This demonstrates the SPN/CD43 antibody detected the SPN/CD43 protein (arrow). |
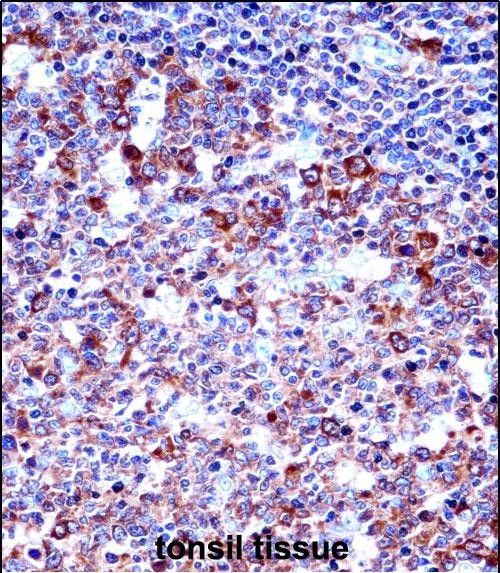
![]() |
SPN/CD43 Antibody (Center) (P31395)immunohistochemistry analysis in formalin fixed and paraffin embedded human tonsil tissue followed by peroxidase conjugation of the secondary antibody and DAB staining.This data demonstrates the use of SPN/CD43 Antibody (Center) for immunohistochemistry. Clinical relevance has not been evaluated. |
本公司的所有产品仅用于科学研究或者工业应用等非医疗目的,不可用于人类或动物的临床诊断或治疗,非药用,非食用。
暂无评论
本公司的所有产品仅用于科学研究或者工业应用等非医疗目的,不可用于人类或动物的临床诊断或治疗,非药用,非食用。
中文


发表回复