别名:Protein spinster homolog 3, SPNS3应用:WB,IHC
反应种属:Human
规格:50μl/100μl
| Description |
|---|
| SPNS3 is a sphingolipid transporter (By similarity). |
| Specification | |
|---|---|
| Aliases | Protein spinster homolog 3, SPNS3 |
| Entrez GeneID | 201305 |
| Swissprot | Q6ZMD2 |
| WB Predicted band size | 54.8kDa |
| Host/Isotype | Rabbit IgG |
| Storage | Store at 4°C short term. Aliquot and store at -20°C long term. Avoid freeze/thaw cycles. |
| Species Reactivity | Human |
| Immunogen | This SPNS3 antibody is generated from rabbits immunized with a KLH conjugated synthetic peptide between 470-498 amino acids from the C-terminal region of human SPNS3. |
| Formulation | Purified polyclonal antibody supplied in PBS with 0.05% sodium azide. This antibody is purified through a protein A column, followed by peptide affinity purification. |
| Application | |
|---|---|
| WB | 1/1000 |
| IHC | 1/100-1/500 |
![]() |
SPNS3 Antibody (C-term) (Cat. #P31131) western blot analysis in A549 cell line lysates (35ug/lane).This demonstrates the SPNS3 antibody detected the SPNS3 protein (arrow). |
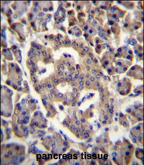
![]() |
SPNS3 Antibody (C-term) (Cat. #P31131)immunohistochemistry analysis in formalin fixed and paraffin embedded human pancreas tissue followed by peroxidase conjugation of the secondary antibody and DAB staining.This data demonstrates the use of SPNS3 Antibody (C-term) for immunohistochemistry. Clinical relevance has not been evaluated. |
本公司的所有产品仅用于科学研究或者工业应用等非医疗目的,不可用于人类或动物的临床诊断或治疗,非药用,非食用。
暂无评论
本公司的所有产品仅用于科学研究或者工业应用等非医疗目的,不可用于人类或动物的临床诊断或治疗,非药用,非食用。
中文


发表回复