别名:Speckle-type POZ protein-like, HIB homolog 2, Roadkill homolog 2, SPOPL应用:WB,IHC,FCM
反应种属:Human
规格:50μl/100μl
| Description |
|---|
| In complex with a cullin, may act in ubiquitination and proteasomal degradation processes (By similarity). |
| Specification | |
|---|---|
| Aliases | Speckle-type POZ protein-like, HIB homolog 2, Roadkill homolog 2, SPOPL |
| Entrez GeneID | 339745 |
| Swissprot | Q6IQ16 |
| WB Predicted band size | 44.6kDa |
| Host/Isotype | Rabbit IgG |
| Storage | Store at 4°C short term. Aliquot and store at -20°C long term. Avoid freeze/thaw cycles. |
| Species Reactivity | Human |
| Immunogen | This SPOPL antibody is generated from rabbits immunized with a KLH conjugated synthetic peptide between 221-249 amino acids from the Central region of human SPOPL. |
| Formulation | Purified polyclonal antibody supplied in PBS with 0.05% sodium azide. This antibody is purified through a protein A column, followed by peptide affinity purification. |
| Application | |
|---|---|
| WB | 1/1000 |
| IHC | 1/100-1/500 |
| FCM | 1/10-1/50 |
![]() |
SPOPL Antibody (Center) (Cat. #P31156) western blot analysis in uterus tumor cell line lysates (35ug/lane).This demonstrates the SPOPL antibody detected the SPOPL protein (arrow). |
![]() |
SPOPL Antibody (Center) (Cat. #P31156) flow cytometric analysis of Jurkat cells (right histogram) compared to a negative control cell (left histogram).FITC-conjugated donkey-anti-rabbit secondary antibodies were used for the analysis. |
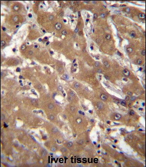
![]() |
SPOPL Antibody (Center) (Cat. #P31156)immunohistochemistry analysis in formalin fixed and paraffin embedded human liver tissue followed by peroxidase conjugation of the secondary antibody and DAB staining.This data demonstrates the use of SPOPL Antibody (Center) for immunohistochemistry. Clinical relevance has not been evaluated. |
本公司的所有产品仅用于科学研究或者工业应用等非医疗目的,不可用于人类或动物的临床诊断或治疗,非药用,非食用。
暂无评论
本公司的所有产品仅用于科学研究或者工业应用等非医疗目的,不可用于人类或动物的临床诊断或治疗,非药用,非食用。
中文



发表回复