别名:EL2; HPP; HS3; SPH3; SPTA应用:WB,IHC
反应种属:Human, Mouse
规格:50μl/100μl
| Description |
|---|
| Spectrin is an actin crosslinking and molecular scaffold protein that links the plasma membrane to the actin cytoskeleton, and functions in the determination of cell shape, arrangement of transmembrane proteins, and organization of organelles. It is a tetramer made up of alpha-beta dimers linked in a head-to-head arrangement. This gene is one member of a family of alpha-spectrin genes. The encoded protein is primarily composed of 22 spectrin repeats which are involved in dimer formation. It forms weaker tetramer interactions than non-erythrocytic alpha spectrin, which may increase the plasma membrane elasticity and deformability of red blood cells. Mutations in this gene result in a variety of hereditary red blood cell disorders, including elliptocytosis type 2, pyropoikilocytosis, and spherocytic hemolytic anemia. |
| Specification | |
|---|---|
| Aliases | EL2; HPP; HS3; SPH3; SPTA |
| Swissprot | P02549 |
| WB Predicted band size | 280 kDa |
| Host/Isotype | Rabbit IgG |
| Storage | Store at 4°C short term. Aliquot and store at -20°C long term. Avoid freeze/thaw cycles. |
| Species Reactivity | Human, Mouse |
| Immunogen | Synthetic peptide of human SPTA1 |
| Formulation | pH7.4 PBS, 0.05% NaN3, 40% Glycerol |
| Application | |
|---|---|
| WB | 1/500-1/2000 |
| IHC | 1/60-1/450 |
| ELISA | 1/5000-1/10000 |
![]() |
Gel: 6%SDS-PAGE, Lysate: 40 μg, Lane: Mouse heart tissue lysate, Primary antibody: P12792(SPTA1 Antibody) at dilution 1/550, Secondary antibody: Goat anti rabbit IgG at 1/8000 dilution, Exposure time: 20 seconds |
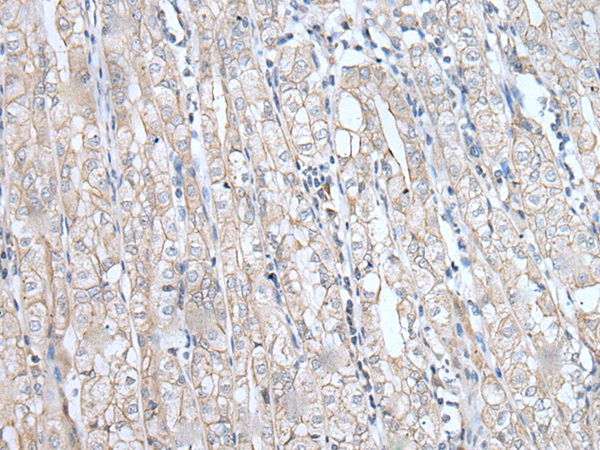
![]() |
The image is immunohistochemistry of paraffin-embedded Human gastric cancer tissue using P12792(SPTA1 Antibody) at dilution 1/80. (Original magnification: ×200) |
本公司的所有产品仅用于科学研究或者工业应用等非医疗目的,不可用于人类或动物的临床诊断或治疗,非药用,非食用。
暂无评论
本公司的所有产品仅用于科学研究或者工业应用等非医疗目的,不可用于人类或动物的临床诊断或治疗,非药用,非食用。
中文


发表回复