别名:Protein SERAC1, Serine active site-containing protein 1, SERAC1应用:WB,IHC
反应种属:Human, Mouse
规格:50μl/100μl
| Specification | |
|---|---|
| Aliases | Protein SERAC1, Serine active site-containing protein 1, SERAC1 |
| Entrez GeneID | 84947 |
| Swissprot | Q96JX3 |
| WB Predicted band size | 74.1kDa |
| Host/Isotype | Rabbit IgG |
| Storage | Store at 4°C short term. Aliquot and store at -20°C long term. Avoid freeze/thaw cycles. |
| Species Reactivity | Human, Mouse |
| Immunogen | This SRAC1 antibody is generated from rabbits immunized with a KLH conjugated synthetic peptide between 552-581 amino acids from the C-terminal region of human SRAC1. |
| Formulation | Purified polyclonal antibody supplied in PBS with 0.05% sodium azide. This antibody is purified through a protein A column, followed by peptide affinity purification. |
| Application | |
|---|---|
| WB | 1/1000 |
| IHC | 1/100-1/500 |
![]() |
SRAC1 Antibody (C-term) (Cat. #P30852) western blot analysis in mouse stomach tissue lysates (35ug/lane).This demonstrates the SRAC1 antibody detected the SRAC1 protein (arrow). |
![]() |
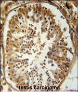
SRAC1 Antibody (C-term) (Cat. #P30852) immunohistochemistry analysis in formalin fixed and paraffin embedded human testis carcinoma followed by peroxidase conjugation of the secondary antibody and DAB staining. This data demonstrates the use of the SRAC1 Antibody (C-term) for immunohistochemistry. Clinical relevance has not been evaluated. |
本公司的所有产品仅用于科学研究或者工业应用等非医疗目的,不可用于人类或动物的临床诊断或治疗,非药用,非食用。
暂无评论
本公司的所有产品仅用于科学研究或者工业应用等非医疗目的,不可用于人类或动物的临床诊断或治疗,非药用,非食用。
中文


发表回复