别名:S1 RNA-binding domain-containing protein 1, SRBD1应用:WB,IHC
反应种属:Human
规格:50μl/100μl
| Specification | |
|---|---|
| Aliases | S1 RNA-binding domain-containing protein 1, SRBD1 |
| Entrez GeneID | 55133 |
| Swissprot | Q8N5C6 |
| WB Predicted band size | 111.8kDa |
| Host/Isotype | Rabbit IgG |
| Storage | Store at 4°C short term. Aliquot and store at -20°C long term. Avoid freeze/thaw cycles. |
| Species Reactivity | Human |
| Immunogen | This SRBD1 antibody is generated from rabbits immunized with a KLH conjugated synthetic peptide between 934-963 amino acids from the C-terminal region of human SRBD1. |
| Formulation | Purified polyclonal antibody supplied in PBS with 0.05% sodium azide. This antibody is purified through a protein A column, followed by peptide affinity purification. |
| Application | |
|---|---|
| WB | 1/1000 |
| IHC | 1/100-1/500 |
![]() |
SRBD1 Antibody (C-term) (Cat. #P30901) western blot analysis in MDA-MB435 cell line lysates (35ug/lane).This demonstrates the SRBD1 antibody detected the SRBD1 protein (arrow). |
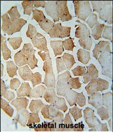
![]() |
SRBD1 Antibody (C-term) (Cat. #P30901) immunohistochemistry analysis in formalin fixed and paraffin embedded human skeletal muscle followed by peroxidase conjugation of the secondary antibody and DAB staining. This data demonstrates the use of the SRBD1 Antibody (C-term) for immunohistochemistry. Clinical relevance has not been evaluated. |
本公司的所有产品仅用于科学研究或者工业应用等非医疗目的,不可用于人类或动物的临床诊断或治疗,非药用,非食用。
暂无评论
本公司的所有产品仅用于科学研究或者工业应用等非医疗目的,不可用于人类或动物的临床诊断或治疗,非药用,非食用。
中文


发表回复