别名:SRC; SRC1; Proto-oncogene tyrosine-protein kinase Src; Proto-oncogene c-Src; pp60c-src; p60-Src应用:WB,IHC
反应种属:Human,Mouse,Rat
规格:50μl/100μl
| Description |
|---|
| Src activity is regulated by tyrosine phosphorylation at two sites, but with opposing effects. While phosphorylation at Tyr416 in the activation loop of the kinase domain upregulates enzyme activity, phosphorylation at Tyr527 in the carboxy-terminal tail by Csk renders the enzyme less active (2). |
| Specification | |
|---|---|
| Aliases | SRC; SRC1; Proto-oncogene tyrosine-protein kinase Src; Proto-oncogene c-Src; pp60c-src; p60-Src |
| Entrez GeneID | 6714 |
| Swissprot | P12931 |
| WB Predicted band size | Calculated MW: 60 kDa; Observed MW: 60 kDa |
| Host/Isotype | Rabbit IgG |
| Storage | Store at 4°C short term. Aliquot and store at -20°C long term. Avoid freeze/thaw cycles. |
| Species Reactivity | Human,Mouse,Rat |
| Immunogen | Peptide sequence around aa. 527~531 (P-Q-Y-Q-P) derived from Human Src. |
| Formulation | Liquid in PBS containing 50% glycerol, 0.5% BSA and 0.02% sodium azide, pH 7.3. |
| Application | |
|---|---|
| WB | 1/500-1/1000 |
| IHC | 1/50-1/100 |
![]() |
Western blot analysis of Src in HT-29, Hela and MDA lysates using Src (Ab529) antibody. |
![]() |
Western blot analysis of Src in Hela, C6, 3T3 and PC-12 lysates using Src (Ab529) antibody. |
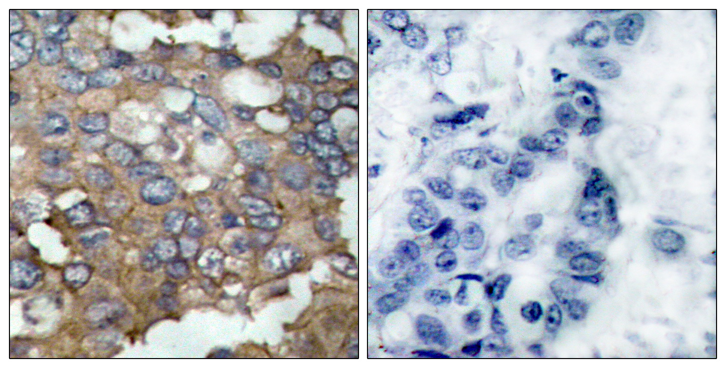
![]() |
Immunohistochemistry analysis of paraffin-embedded Human breast carcinoma tissue using Src (Ab529) antibody(left) or the same antibody. High-pressure and temperature Sodium Citrate pH 6.0 was used for antigen retrieval.Sample with blocking peptide on the right. |
本公司的所有产品仅用于科学研究或者工业应用等非医疗目的,不可用于人类或动物的临床诊断或治疗,非药用,非食用。
暂无评论
本公司的所有产品仅用于科学研究或者工业应用等非医疗目的,不可用于人类或动物的临床诊断或治疗,非药用,非食用。
中文



发表回复