别名:SCN; V19; CP22; CP-22应用:WB,IHC
反应种属:Human, Mouse
规格:50μl/100μl
| Description |
|---|
| This gene encodes a calcium-binding protein with multiple E-F hand domains that relocates from the cytoplasm to the sarcoplasmic reticulum in response to elevated calcium levels. In addition to regulating intracellular calcium homeostasis it also modulates excitation-contraction coupling in the heart. Alternative splicing results in multiple transcript variants encoding distinct proteins. Multiple pseudogenes exist for this gene. |
| Specification | |
|---|---|
| Aliases | SCN; V19; CP22; CP-22 |
| Swissprot | P30626 |
| WB Predicted band size | 22 kDa |
| Host/Isotype | Rabbit IgG |
| Storage | Store at 4°C short term. Aliquot and store at -20°C long term. Avoid freeze/thaw cycles. |
| Species Reactivity | Human, Mouse |
| Immunogen | Fusion protein of human SRI |
| Formulation | pH7.4 PBS, 0.05% NaN3, 40% Glycerol |
| Application | |
|---|---|
| WB | 1/500-1/2000 |
| IHC | 1/100-1/300 |
| ELISA | 1/5000-1/10000 |
![]() |
Gel: 12%SDS-PAGE, Lysate: 40 μg, Lane 1-2: 293T cell, Human placenta tissue lysates, Primary antibody: P02853(SRI Antibody) at dilution 1/650, Secondary antibody: Goat anti rabbit IgG at 1/5000 dilution, Exposure time: 30 seconds |
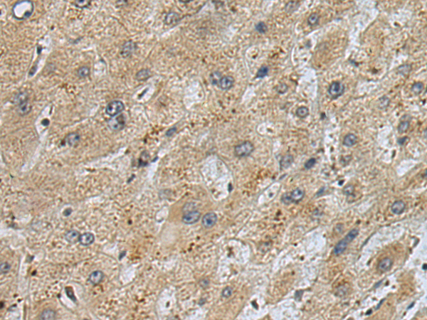
![]() |
The image is immunohistochemistry of paraffin-embedded Human liver cancer tissue using P02853(SRI Antibody) at dilution 1/100. (Original magnification: ×200) |
本公司的所有产品仅用于科学研究或者工业应用等非医疗目的,不可用于人类或动物的临床诊断或治疗,非药用,非食用。
暂无评论
本公司的所有产品仅用于科学研究或者工业应用等非医疗目的,不可用于人类或动物的临床诊断或治疗,非药用,非食用。
中文


发表回复