别名:Sarcospan, K-ras oncogene-associated protein, Kirsten-ras-associated protein, SSPN, KRAG应用:WB,IHC
反应种属:Human
规格:50μl/100μl
| Description |
|---|
| Component of the dystrophin-glycoprotein complex (DGC), a complex that spans the muscle plasma membrane and forms a link between the F-actin cytoskeleton and the extracellular matrix. Preferentially associates with the sarcoglycan subcomplex of the DGC. |
| Specification | |
|---|---|
| Aliases | Sarcospan, K-ras oncogene-associated protein, Kirsten-ras-associated protein, SSPN, KRAG |
| Entrez GeneID | 8082 |
| Swissprot | Q14714 |
| WB Predicted band size | 26.6kDa |
| Host/Isotype | Rabbit IgG |
| Storage | Store at 4°C short term. Aliquot and store at -20°C long term. Avoid freeze/thaw cycles. |
| Species Reactivity | Human |
| Immunogen | This SSPN antibody is generated from rabbits immunized with a KLH conjugated synthetic peptide between 6-34 amino acids from the N-terminal region of human SSPN. |
| Formulation | Purified polyclonal antibody supplied in PBS with 0.05% sodium azide. This antibody is purified through a protein A column, followed by peptide affinity purification. |
| Application | |
|---|---|
| WB | 1/1000 |
| IHC | 1/100-1/500 |
![]() |
SSPN Antibody (N-term) (Cat. #P32524) western blot analysis in K562,MDA-MB453 cell line lysates (35ug/lane).This demonstrates the SSPN antibody detected the SSPN protein (arrow). |
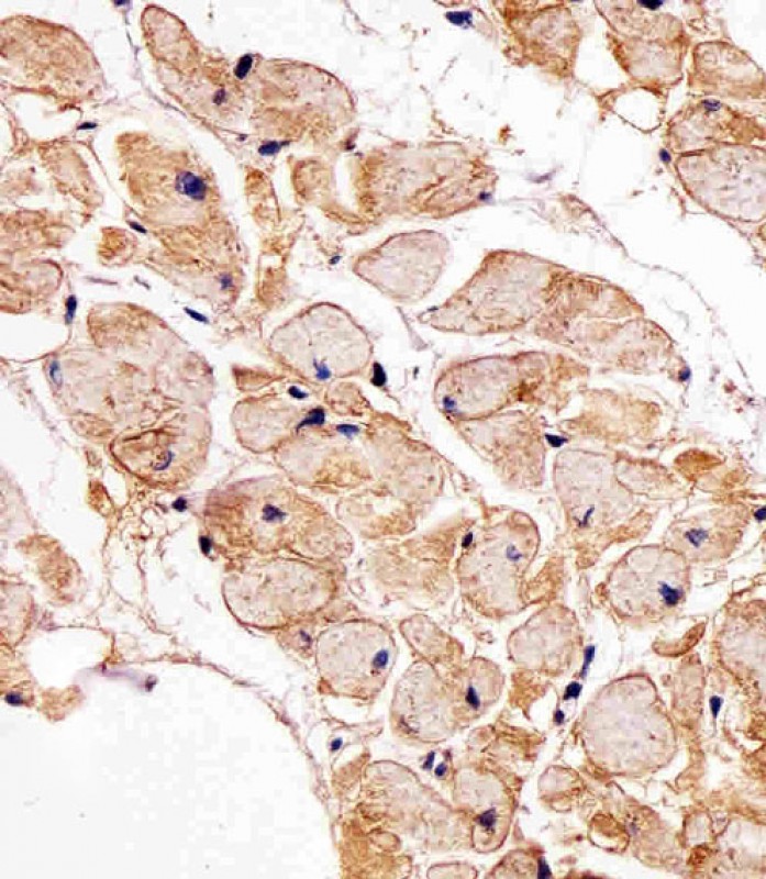
![]() |
Immunohistochemical analysis of paraffin-embedded H. heart section using SSPN Antibody (N-term)(Cat#P32524). P32524 was diluted at 1:25 dilution. A undiluted biotinylated goat polyvalent antibody was used as the secondary, followed by DAB staining. |
本公司的所有产品仅用于科学研究或者工业应用等非医疗目的,不可用于人类或动物的临床诊断或治疗,非药用,非食用。
暂无评论
本公司的所有产品仅用于科学研究或者工业应用等非医疗目的,不可用于人类或动物的临床诊断或治疗,非药用,非食用。
中文


发表回复