别名:SS1R, SS1-R, SRIF-2, SS-1-R应用:IHC
反应种属:Human, Mouse, Rat
规格:50μl/100μl
| Description |
|---|
| Somatostatins are peptide hormones that regulate diverse cellular functions such as neurotransmission, cell proliferation, and endocrine signaling as well as inhibiting the release of many hormones and other secretory proteins. Somatostatin has two active forms of 14 and 28 amino acids. The biological effects of somatostatins are mediated by a family of G-protein coupled somatostatin receptors that are expressed in a tissue-specific manner. The protein encoded by this gene is a member of the superfamily of somatostatin receptors having seven transmembrane segments. Somatostatin receptors form homodimers and heterodimers with other members of the superfamily as well as with other G-protein coupled receptors and receptor tyrosine kinases. This somatostatin receptor has greater affinity for somatostatin-14 than -28. |
| Specification | |
|---|---|
| Aliases | SS1R, SS1-R, SRIF-2, SS-1-R |
| Swissprot | P30872 |
| Host/Isotype | Rabbit IgG |
| Storage | Store at 4°C short term. Aliquot and store at -20°C long term. Avoid freeze/thaw cycles. |
| Species Reactivity | Human, Mouse, Rat |
| Immunogen | Synthetic peptide of human SSTR1 |
| Formulation | pH7.4 PBS, 0.05% NaN3, 40% Glycerol |
| Application | |
|---|---|
| IHC | 1/50-1/200 |
| ELISA | 1/2000-1/5000 |
![]() |
The image is immunohistochemistry of paraffin-embedded Human breast cancer tissue using P04470(SSTR1 Antibody) at dilution 1/50. (Original magnification: ×200) |
![]() |
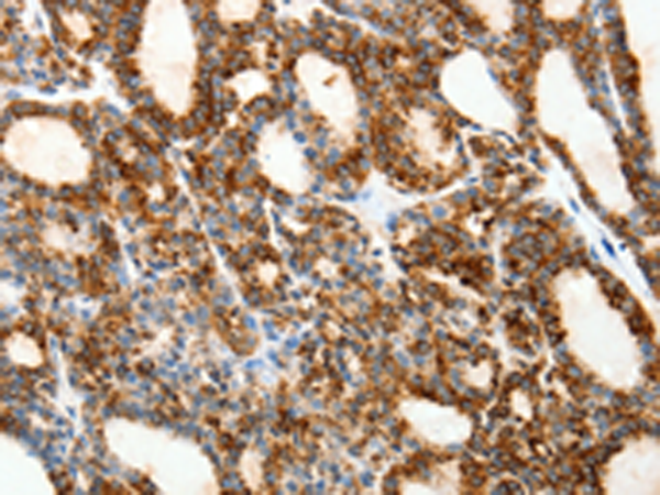
The image is immunohistochemistry of paraffin-embedded Human thyroid cancer tissue using P04470(SSTR1 Antibody) at dilution 1/50. (Original magnification: ×200) |
本公司的所有产品仅用于科学研究或者工业应用等非医疗目的,不可用于人类或动物的临床诊断或治疗,非药用,非食用。
暂无评论
本公司的所有产品仅用于科学研究或者工业应用等非医疗目的,不可用于人类或动物的临床诊断或治疗,非药用,非食用。
中文


发表回复