别名:STMP; IPCA1; PUMPCn; STAMP1; PCANAP1应用:WB,IHC
反应种属:Human, Mouse, Rat
规格:50μl/100μl
| Description |
|---|
| This gene is a member of the STEAP family and encodes a multi-pass membrane protein that localizes to the Golgi complex, the plasma membrane, and the vesicular tubular structures in the cytosol. A highly similar protein in mouse has both ferrireductase and cupric reductase activity, and stimulates the cellular uptake of both iron and copper in vitro. Increased transcriptional expression of the human gene is associated with prostate cancer progression. Alternate transcriptional splice variants, encoding different isoforms, have been characterized. |
| Specification | |
|---|---|
| Aliases | STMP; IPCA1; PUMPCn; STAMP1; PCANAP1 |
| Swissprot | Q8NFT2 |
| WB Predicted band size | 56 kDa |
| Host/Isotype | Rabbit IgG |
| Storage | Store at 4°C short term. Aliquot and store at -20°C long term. Avoid freeze/thaw cycles. |
| Species Reactivity | Human, Mouse, Rat |
| Immunogen | Synthetic peptide of human STEAP2 |
| Formulation | pH7.4 PBS, 0.05% NaN3, 40% Glycerol |
| Application | |
|---|---|
| WB | 1/200-1/1000 |
| IHC | 1/50-1/100 |
| ELISA | 1/5000-1/10000 |
![]() |
Gel: 8%SDS-PAGE, Lysate: 40 μg, Lane 1-2: Human stomach tissue, Human placenta tissue lysates, Primary antibody: P05816(STEAP2 Antibody) at dilution 1/400, Secondary antibody: Goat anti rabbit IgG at 1/5000 dilution, Exposure time: 10 minutes |
![]() |
The image is immunohistochemistry of paraffin-embedded Human esophagus cancer tissue using P05816(STEAP2 Antibody) at dilution 1/35. (Original magnification: ×200) |
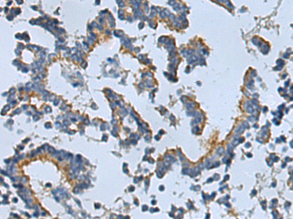
![]() |
The image is immunohistochemistry of paraffin-embedded Human liver cancer tissue using P05816(STEAP2 Antibody) at dilution 1/35. (Original magnification: ×200) |
本公司的所有产品仅用于科学研究或者工业应用等非医疗目的,不可用于人类或动物的临床诊断或治疗,非药用,非食用。
暂无评论
本公司的所有产品仅用于科学研究或者工业应用等非医疗目的,不可用于人类或动物的临床诊断或治疗,非药用,非食用。
中文



发表回复