别名:STMP3; TSAP6; pHyde; AHMIO2; dudlin-2; dudulin-2应用:WB,IHC
反应种属:Human, Mouse, Rat
规格:50μl/100μl
| Description |
|---|
| This gene encodes a multipass membrane protein that functions as an iron transporter. The encoded protein can reduce both iron (Fe3+) and copper (Cu2+) cations. This protein may mediate downstream responses to p53, including promoting apoptosis. Deficiency in this gene can cause anemia. Alternative splicing results in multiple transcript variants. |
| Specification | |
|---|---|
| Aliases | STMP3; TSAP6; pHyde; AHMIO2; dudlin-2; dudulin-2 |
| Swissprot | Q658P3 |
| WB Predicted band size | 55 kDa |
| Host/Isotype | Rabbit IgG |
| Storage | Store at 4°C short term. Aliquot and store at -20°C long term. Avoid freeze/thaw cycles. |
| Species Reactivity | Human, Mouse, Rat |
| Immunogen | Synthetic peptide of human STEAP3 |
| Formulation | pH7.4 PBS, 0.05% NaN3, 40% Glycerol |
| Application | |
|---|---|
| WB | 1/500-1/2000 |
| IHC | 1/50-1/100 |
| ELISA | 1/5000-1/10000 |
![]() |
Gel: 8%SDS-PAGE, Lysate: 40 μg, Lane: A172 cell lysate , Primary antibody: P13777(STEAP3 Antibody) at dilution 1/400, Secondary antibody: Goat anti rabbit IgG at 1/5000 dilution, Exposure time: 30 seconds |
![]() |
The image is immunohistochemistry of paraffin-embedded Human prostate cancer tissue using P13777(STEAP3 Antibody) at dilution 1/50. (Original magnification: ×200) |
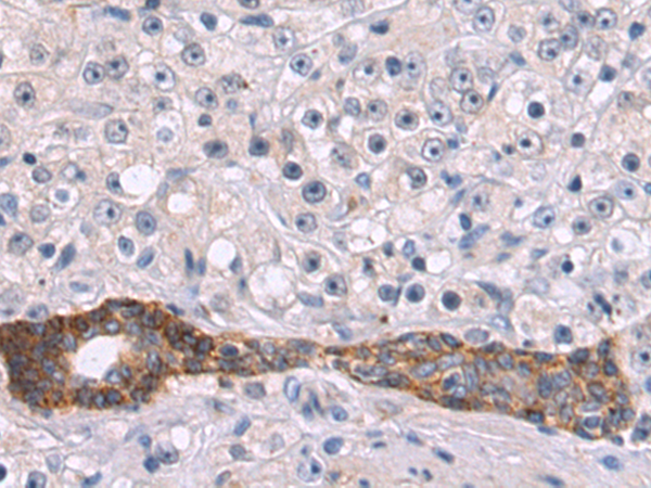
![]() |
The image is immunohistochemistry of paraffin-embedded Human esophagus cancer tissue using P13777(STEAP3 Antibody) at dilution 1/50. (Original magnification: ×200) |
本公司的所有产品仅用于科学研究或者工业应用等非医疗目的,不可用于人类或动物的临床诊断或治疗,非药用,非食用。
暂无评论
本公司的所有产品仅用于科学研究或者工业应用等非医疗目的,不可用于人类或动物的临床诊断或治疗,非药用,非食用。
中文



发表回复