别名:STK32; STKG6; YANK2; HSA250839应用:IHC
反应种属:Human
规格:50μl/100μl
| Description |
|---|
| STK32B is a 414 amino acid protein that contains one protein kinase domain and belongs to the Ser/Thr protein kinase family. Using magnesium as a cofactor, YANK2 functions to catalyze the ATP-dependent phosphorylation of target proteins and may play a role in various signaling events throughout the cell. Multiple isoforms of YANK2 exist due to alternatively splicing events. |
| Specification | |
|---|---|
| Aliases | STK32; STKG6; YANK2; HSA250839 |
| Swissprot | Q9NY57 |
| Host/Isotype | Rabbit IgG |
| Storage | Store at 4°C short term. Aliquot and store at -20°C long term. Avoid freeze/thaw cycles. |
| Species Reactivity | Human |
| Immunogen | Synthetic peptide of human STK32B |
| Formulation | pH7.4 PBS, 0.05% NaN3, 40% Glycerol |
| Application | |
|---|---|
| IHC | 1/25-1/100 |
| ELISA | 1/2000-1/5000 |
![]() |
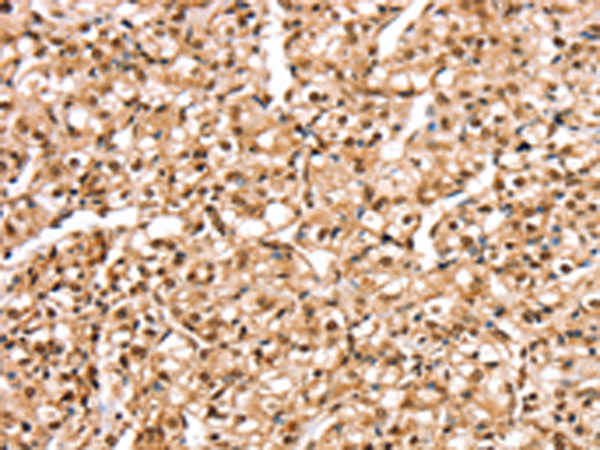
The image is immunohistochemistry of paraffin-embedded Human cervical cancer tissue using P12252(STK32B Antibody) at dilution 1/25. (Original magnification: ×200) |
![]() |
The image is immunohistochemistry of paraffin-embedded Human prostate cancer tissue using P12252(STK32B Antibody) at dilution 1/25. (Original magnification: ×200) |
本公司的所有产品仅用于科学研究或者工业应用等非医疗目的,不可用于人类或动物的临床诊断或治疗,非药用,非食用。
暂无评论
本公司的所有产品仅用于科学研究或者工业应用等非医疗目的,不可用于人类或动物的临床诊断或治疗,非药用,非食用。
中文


发表回复