别名:PKE; YANK3应用:IHC
反应种属:Human, Mouse
规格:50μl/100μl
| Description |
|---|
| The protein encoded by this gene is a member of the serine/threonine protein kinase family. It is thought that this family member is functional in brain due to its high expression levels there. DNA methylation differences have been found in this gene in monozygotic twins that are discordant for adolescent depression. Alternative splicing results in multiple transcript variants. |
| Specification | |
|---|---|
| Aliases | PKE; YANK3 |
| Swissprot | Q86UX6 |
| Host/Isotype | Rabbit IgG |
| Storage | Store at 4°C short term. Aliquot and store at -20°C long term. Avoid freeze/thaw cycles. |
| Species Reactivity | Human, Mouse |
| Immunogen | Fusion protein of human STK32C |
| Formulation | pH7.4 PBS, 0.05% NaN3, 40% Glycerol |
| Application | |
|---|---|
| IHC | 1/40-1/200 |
| ELISA | 1/5000-1/10000 |
![]() |
The image is immunohistochemistry of paraffin-embedded Human tonsil tissue using P02892(STK32C Antibody) at dilution 1/30. (Original magnification: ×200) |
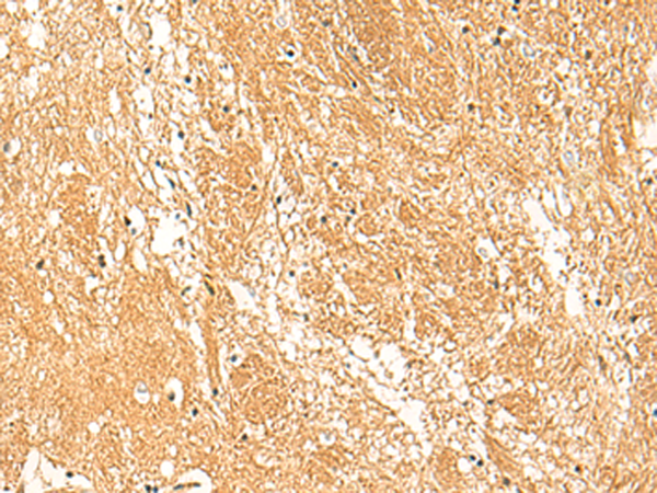
![]() |
The image is immunohistochemistry of paraffin-embedded Human brain tissue using P02892(STK32C Antibody) at dilution 1/30. (Original magnification: ×200) |
本公司的所有产品仅用于科学研究或者工业应用等非医疗目的,不可用于人类或动物的临床诊断或治疗,非药用,非食用。
暂无评论
本公司的所有产品仅用于科学研究或者工业应用等非医疗目的,不可用于人类或动物的临床诊断或治疗,非药用,非食用。
中文


发表回复