别名:FU应用:IHC
反应种属:Human
规格:50μl/100μl
| Description |
|---|
| This gene encodes a member of the serine/threonine kinase family of enzymes. This family member is similar to a Drosophila protein that plays a key role in the Hedgehog signaling pathway. This human protein is a positive regulator of the GLI zinc-finger transcription factors. Knockout studies of the homologous mouse gene suggest that defects in this human gene may lead to congenital hydrocephalus, possibly due to a functional defect in motile cilia. |
| Specification | |
|---|---|
| Aliases | FU |
| Swissprot | Q9NRP7 |
| Host/Isotype | Rabbit IgG |
| Storage | Store at 4°C short term. Aliquot and store at -20°C long term. Avoid freeze/thaw cycles. |
| Species Reactivity | Human |
| Immunogen | Synthetic peptide of human STK36 |
| Formulation | pH7.4 PBS, 0.05% NaN3, 40% Glycerol |
| Application | |
|---|---|
| IHC | 1/10-1/50 |
| ELISA | 1/1000-1/2000 |
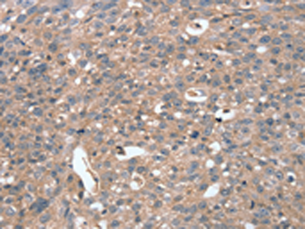
![]() |
The image is immunohistochemistry of paraffin-embedded Human liver cancer tissue using P12249(STK36 Antibody) at dilution 1/20. (Original magnification: ×200) |
![]() |
The image is immunohistochemistry of paraffin-embedded Human breast cancer tissue using P12249(STK36 Antibody) at dilution 1/20. (Original magnification: ×200) |
本公司的所有产品仅用于科学研究或者工业应用等非医疗目的,不可用于人类或动物的临床诊断或治疗,非药用,非食用。
暂无评论
本公司的所有产品仅用于科学研究或者工业应用等非医疗目的,不可用于人类或动物的临床诊断或治疗,非药用,非食用。
中文


发表回复