别名:应用:IHC
反应种属:Human
规格:50μl/100μl
| Description |
|---|
| This gene encodes a retinoic acid-responsive protein. A homologous protein in mouse has been shown to be involved in the regulation of meiotic initiation in both spermatogenesis and oogenesis, though feature differences between the mouse and human proteins suggest that these homologs are not entirely functionally equivalent. It is thought that this gene may play a role in spermatogenesis in humans. |
| Specification | |
|---|---|
| Swissprot | Q7Z7C7 |
| Host/Isotype | Rabbit IgG |
| Storage | Store at 4°C short term. Aliquot and store at -20°C long term. Avoid freeze/thaw cycles. |
| Species Reactivity | Human |
| Immunogen | Synthetic peptide of human STRA8 |
| Formulation | pH7.4 PBS, 0.05% NaN3, 40% Glycerol |
| Application | |
|---|---|
| IHC | 1/25-1/100 |
| ELISA | 1/2000-1/5000 |
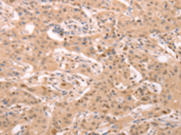
![]() |
The image is immunohistochemistry of paraffin-embedded Human colon cancer tissue using P04476(STRA8 Antibody) at dilution 1/25. (Original magnification: ×200) |
![]() |
The image is immunohistochemistry of paraffin-embedded Human lung cancer tissue using P04476(STRA8 Antibody) at dilution 1/25. (Original magnification: ×200) |
本公司的所有产品仅用于科学研究或者工业应用等非医疗目的,不可用于人类或动物的临床诊断或治疗,非药用,非食用。
暂无评论
本公司的所有产品仅用于科学研究或者工业应用等非医疗目的,不可用于人类或动物的临床诊断或治疗,非药用,非食用。
中文


发表回复