别名:SUMO1; SMT3C; SMT3H3; UBL1; OK/SW-cl.43; Small ubiquitin-related modifier 1; SUMO-1; GAP-modifying protein 1; GMP1; SMT3 homolog 3; Sentrin; Ubiquitin-homology domain protein PIC1; Ubiquitin-like protein SMT3C; Smt3C; Ubiquitin-like protein应用:WB,IHC,ICC,FCM,IP
反应种属:Human,Mouse,Rat
规格:50μl/100μl
| Description |
|---|
| SUMO1 Ubiquitin-like protein which can be covalently attached to target lysines as a monomer. Does not seem to be involved in protein degradation and may function as an antagonist of ubiquitin in the degradation process. Plays a role in a number of cellular processes such as nuclear transport, DNA replication and repair, mitosis and signal transduction. |
| Specification | |
|---|---|
| Aliases | SUMO1; SMT3C; SMT3H3; UBL1; OK/SW-cl.43; Small ubiquitin-related modifier 1; SUMO-1; GAP-modifying protein 1; GMP1; SMT3 homolog 3; Sentrin; Ubiquitin-homology domain protein PIC1; Ubiquitin-like protein SMT3C; Smt3C; Ubiquitin-like protein |
| Entrez GeneID | 7341 |
| Swissprot | P63165 |
| WB Predicted band size | Calculated MW: 12 kDa; Observed MW: 12 kDa |
| Host/Isotype | Rabbit IgG |
| Storage | Store at 4°C short term. Aliquot and store at -20°C long term. Avoid freeze/thaw cycles. |
| Species Reactivity | Human,Mouse,Rat |
| Immunogen | A synthesized peptide derived from human Sumo 1 |
| Formulation | Rabbit IgG in phosphate buffered saline , pH 7.4, 150mM NaCl, 0.02% sodium azide and 50% glycerol. |
| Application | |
|---|---|
| IP | 1/20 |
| WB | 1/500-1/1000 |
| IHC | 1/50-1/100 |
| ICC | 1/50-1/200 |
| FCM | 1/50-1/100 |
![]() |
Western blot analysis of SUMO1 in (1) HeLa lysates; (2) NIH/3T3 lysates using SUMO1 antibody. |
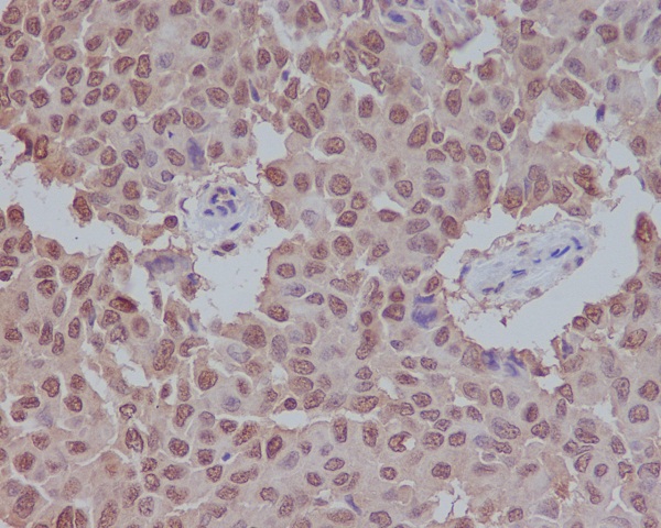
![]() |
Immunohistochemistry analysis of paraffin-embedded Human breast carcinoma using Sumo 1 antibody.High-pressure and temperature Sodium Citrate pH 6.0 was used for antigen retrieval. |
本公司的所有产品仅用于科学研究或者工业应用等非医疗目的,不可用于人类或动物的临床诊断或治疗,非药用,非食用。
暂无评论
本公司的所有产品仅用于科学研究或者工业应用等非医疗目的,不可用于人类或动物的临床诊断或治疗,非药用,非食用。
中文


发表回复