别名:Small ubiquitin-related modifier 1, SUMO-1, GAP-modifying protein 1, GMP1, SMT3 homolog 3, Sentrin, Ubiquitin-homology domain protein PIC1, Ubiquitin-like protein SMT3C, Smt3C, Ubiquitin-like protein UBL1, SUMO1, SMT3C, SMT3H3, UBL1应用:WB,IHC,ICC,FCM
反应种属:Human
规格:50μl/100μl
| Description |
|---|
| Covalent modification of target lysines by SUMO (small ubiquitin-like modifier) modulates processes such as protein localization, transcription, nuclear transport, mitosis, DNA replication and repair, signal transduction, and viral reproduction. SUMO does not seem to be involved in protein degradation and may in fact function as an antagonist of ubiquitin in the degradation process. The SUMO family consists of SUMO1 and closely related homologs SUMO2, SUMO3, and SUMO4. Sumoylation has been shown to regulate a wide range of proteins, including MDM2, PIAS, PML, RanGAP1, RanBP2, p53, p73, HIPK2, TEL, c-Jun, Fas, Daxx, TNFRI, Topo-I, Topo-II, PARK2, WRN, Sp100, IkB-alpha, Androgen receptor (AR), GLUT1/4, CaMK, DNMT3B, TDG, HIF1A, CHD3, EXOSC9, RAD51, and viral targets such as CMV-IE1/2, EBV-BZLF1, and HPV/BPV-E1. |
| Specification | |
|---|---|
| Aliases | Small ubiquitin-related modifier 1, SUMO-1, GAP-modifying protein 1, GMP1, SMT3 homolog 3, Sentrin, Ubiquitin-homology domain protein PIC1, Ubiquitin-like protein SMT3C, Smt3C, Ubiquitin-like protein UBL1, SUMO1, SMT3C, SMT3H3, UBL1 |
| Entrez GeneID | 7341 |
| Swissprot | P63165 |
| WB Predicted band size | 11.6kDa |
| Host/Isotype | Rabbit IgG |
| Storage | Store at 4°C short term. Aliquot and store at -20°C long term. Avoid freeze/thaw cycles. |
| Species Reactivity | Human |
| Immunogen | This SUMO1 antibody is generated from rabbits immunized with a KLH conjugated synthetic peptide between 1-30 amino acids from the N-terminal region of human SUMO1. |
| Formulation | Purified polyclonal antibody supplied in PBS with 0.05% sodium azide. This antibody is prepared by Saturated Ammonium Sulfate (SAS) precipitation followed by dialysis against PBS. |
| Application | |
|---|---|
| WB | 1/1000 |
| IHC | 1/100-1/500 |
| ICC | 1/10-1/50 |
| FCM | 1/10-1/50 |
![]() |
The anti-SUMO1 polyclonal antibody (Cat. #P30003) is used in Western blot to detect SUMO1 in HL-60 cell lysate. |
![]() |
Confocal immunofluorescent analysis of SUMO1 Antibody (N-term)(Cat#P30003) with A375 cell followed by Alexa Fluor 488-conjugated goat anti-rabbit lgG (green).Actin filaments have been labeled with Alexa Fluor 555 phalloidin (red).DAPI was used to stain the cell nuclear (blue). |
![]() |
SUMO1 Antibody (N-term) (Cat. #P30003) flow cytometric analysis of Hela cells (right histogram) compared to a negative control cell (left histogram).FITC-conjugated goat-anti-rabbit secondary antibodies were used for the analysis. |
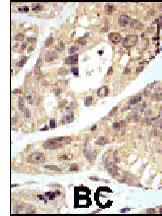
![]() |
Formalin-fixed and paraffin-embedded human cancer tissue reacted with the primary antibody, which was peroxidase-conjugated to the secondary antibody, followed by DAB staining. This data demonstrates the use of this antibody for immunohistochemistry; clinical relevance has not been evaluated. BC = breast carcinoma; HC = hepatocarcinoma. |
本公司的所有产品仅用于科学研究或者工业应用等非医疗目的,不可用于人类或动物的临床诊断或治疗,非药用,非食用。
暂无评论
本公司的所有产品仅用于科学研究或者工业应用等非医疗目的,不可用于人类或动物的临床诊断或治疗,非药用,非食用。
中文




发表回复