别名:Small ubiquitin-related modifier 2, SUMO-2, HSMT3, SMT3 homolog 2 {ECO:0000312|HGNC:HGNC:11125}, SUMO-3, Sentrin-2, Ubiquitin-like protein SMT3B, Smt3B, SUMO2 (HGNC:11125)应用:WB,IHC
反应种属:Human, Mouse, Rat
规格:50μl/100μl
| Description |
|---|
| SUMO2 is a member of the SUMO (small ubiquitin-like modifier) protein family. This protein family functions in a manner similar to ubiquitin in that it is bound to target proteins as part of a post-translational modification system. However, unlike ubiquitin which targets proteins for degradation, this protein is involved in a variety of cellular processes, such as nuclear transport, transcriptional regulation, apoptosis, and protein stability. In vertebrates, three members of the SUMO family have been described, SUMO 1 and the functionally distinct homologues SUMO 2 and SUMO 3. SUMO modification sites present in the N terminal regions of SUMO 2 and SUMO 3 are utilized by SAE1/SAE2 (SUMO E1) and Ubc9 (SUMO E2) to form polymeric chains of SUMO 2 and SUMO 3 on protein substrates, a property not shared by SUMO 1. |
| Specification | |
|---|---|
| Aliases | Small ubiquitin-related modifier 2, SUMO-2, HSMT3, SMT3 homolog 2 {ECO:0000312|HGNC:HGNC:11125}, SUMO-3, Sentrin-2, Ubiquitin-like protein SMT3B, Smt3B, SUMO2 (HGNC:11125) |
| Entrez GeneID | 6613 |
| Swissprot | P61956 |
| WB Predicted band size | 10.9kDa |
| Host/Isotype | Rabbit IgG |
| Storage | Store at 4°C short term. Aliquot and store at -20°C long term. Avoid freeze/thaw cycles. |
| Species Reactivity | Human, Mouse, Rat |
| Immunogen | This SUMO2 antibody is generated from rabbits immunized with a KLH conjugated synthetic peptide between 63-93 amino acids from the C-terminal region of human SUMO2. |
| Formulation | Purified polyclonal antibody supplied in PBS with 0.05% sodium azide. This antibody is prepared by Saturated Ammonium Sulfate (SAS) precipitation followed by dialysis against PBS. |
| Application | |
|---|---|
| WB | 1/1000 |
| IHC | 1/100-1/500 |
![]() |
Western blot analysis of lysates from 293T, HL-60, Jurkat cell line (from left to right), using SUMO2 Antibody(Cat. # P32623). P32623 was diluted at 1:1000 at each lane. A goat anti-rabbit IgG H&L(HRP) at 1:5000 dilution was used as the secondary antibody. Lysates at 35ug per lane. |
![]() |
The SUMO2 C-term Antibody (Cat.#P32623) is used in Western blot to detect SUMO2 in GST-SUMO2 fusion protein (lane 1) and HL60 cell lysate (lane 2). |
![]() |
The SUMO2 C-term Antibody (Cat.#P32623) is used in Western blot to detect SUMO2 in GST-SUMO2 fusion protein (lane 1) and HL60 cell lysate (lane 2). |
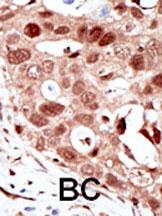
![]() |
Formalin-fixed and paraffin-embedded human cancer tissue reacted with the primary antibody, which was peroxidase-conjugated to the secondary antibody, followed by AEC staining. This data demonstrates the use of this antibody for immunohistochemistry; clinical relevance has not been evaluated. BC = breast carcinoma; HC = hepatocarcinoma. |
本公司的所有产品仅用于科学研究或者工业应用等非医疗目的,不可用于人类或动物的临床诊断或治疗,非药用,非食用。
暂无评论
本公司的所有产品仅用于科学研究或者工业应用等非医疗目的,不可用于人类或动物的临床诊断或治疗,非药用,非食用。
中文




发表回复