别名:Small ubiquitin-related modifier 4, SUMO-4, Small ubiquitin-like protein 4, SUMO4, SMT3H4应用:WB,IHC
反应种属:Human
规格:50μl/100μl
| Description |
|---|
| SUMO4 is a member of the SUMO gene family. This family of small ubiquitin-related modifiers covalently modify target lysines in proteins and control the target proteins’ subcellular localization, stability, or activity. Upon oxidative stress, SUMO4 conjugates to various anti-oxidant enzymes, chaperones, and stress defense proteins. This protein may also conjugate to NFKBIA, TFAP2A and FOS, negatively regulating their transcriptional activity, and to NR3C1, positively regulating its transcriptional activity. Covalent attachment to SUMO4 substrates requires prior activation by the E1 complex SAE1-SAE2 and linkage to the E2 enzyme UBE2I. In contrast to SUMO1, SUMO2 and SUMO3, SUMO4 seems to be insensitive to sentrin-specific proteases due to the presence of Pro-90. This may impair processing to mature form and conjugation to substrates. SUMO4 is located in the cytoplasm and specifically modifies IKBA, leading to negative regulation of NF-kappa-B-dependent transcription of the IL12B gene. The M55V substitution has been associated with type I diabetes. |
| Specification | |
|---|---|
| Aliases | Small ubiquitin-related modifier 4, SUMO-4, Small ubiquitin-like protein 4, SUMO4, SMT3H4 |
| Entrez GeneID | 387082 |
| Swissprot | Q6EEV6 |
| WB Predicted band size | 10.7kDa |
| Host/Isotype | Rabbit IgG |
| Storage | Store at 4°C short term. Aliquot and store at -20°C long term. Avoid freeze/thaw cycles. |
| Species Reactivity | Human |
| Immunogen | This SUMO4 antibody is generated from rabbits immunized with a KLH conjugated synthetic peptide selected from the center region of human SUMO4. |
| Formulation | Purified polyclonal antibody supplied in PBS with 0.05% sodium azide. This antibody is purified through a protein A column, followed by peptide affinity purification. |
| Application | |
|---|---|
| WB | 1/1000 |
| IHC | 1/100-1/500 |
![]() |
Western blot analysis of SUMO4 Antibody (Center) (Cat. #P30101) in HepG2 cell line lysate. SUMO4(arrow) was detected using the purified Pab. |
![]() |
Western blot analysis of SUMO4 (arrow) using rabbit polyclonal SUMO4 Antibody (Center) (Cat. #P30101). 293 cell lysates (2 ug/lane) either nontransfected (Lane 1) or transiently transfected (Lane 2) with the SUMO4 gene. |
![]() |
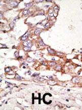
Formalin-fixed and paraffin-embedded human cancer tissue reacted with the primary antibody, which was peroxidase-conjugated to the secondary antibody, followed by AEC staining. This data demonstrates the use of this antibody for immunohistochemistry; clinical relevance has not been evaluated. BC = breast carcinoma; HC = hepatocarcinoma. |
本公司的所有产品仅用于科学研究或者工业应用等非医疗目的,不可用于人类或动物的临床诊断或治疗,非药用,非食用。
暂无评论
本公司的所有产品仅用于科学研究或者工业应用等非医疗目的,不可用于人类或动物的临床诊断或治疗,非药用,非食用。
中文



发表回复