别名:SPAG4L; SPGF16; TSARG4; dJ726C3.1应用:WB,IHC
反应种属:Human, Mouse
规格:50μl/100μl
| Description |
|---|
| The protein encoded by this gene appears to play a role in the meiotic stage of spermatogenesis. The encoded protein localizes to the junction between the sperm head and body and may be involved in nuclear envelope reconstitution and nuclear migration. Mutations in this gene have been implicated in acephalic spermatozoa syndrome. |
| Specification | |
|---|---|
| Aliases | SPAG4L; SPGF16; TSARG4; dJ726C3.1 |
| Swissprot | Q8TC36 |
| WB Predicted band size | 43 kDa |
| Host/Isotype | Rabbit IgG |
| Storage | Store at 4°C short term. Aliquot and store at -20°C long term. Avoid freeze/thaw cycles. |
| Species Reactivity | Human, Mouse |
| Immunogen | Synthetic peptide of human SUN5 |
| Formulation | pH7.4 PBS, 0.05% NaN3, 40% Glycerol |
| Application | |
|---|---|
| WB | 1/500-1/2000 |
| IHC | 1/50-1/100 |
| ELISA | 1/5000-1/10000 |
![]() |
Gel: 8%SDS-PAGE, Lysate: 40 μg, Lane: Human left kidney cancer tissue lysate, Primary antibody: P06001(SUN5 Antibody) at dilution 1/250, Secondary antibody: Goat anti rabbit IgG at 1/5000 dilution, Exposure time: 3 minutes |
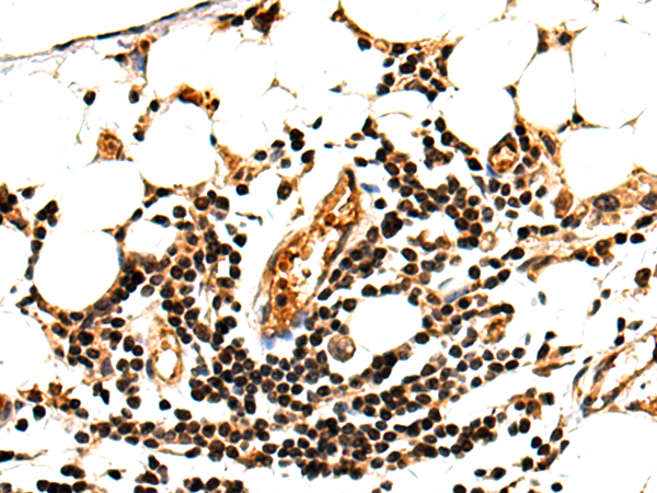
![]() |
The image is immunohistochemistry of paraffin-embedded Human gastric cancer tissue using P06001(SUN5 Antibody) at dilution 1/50. (Original magnification: ×200) |
本公司的所有产品仅用于科学研究或者工业应用等非医疗目的,不可用于人类或动物的临床诊断或治疗,非药用,非食用。
暂无评论
本公司的所有产品仅用于科学研究或者工业应用等非医疗目的,不可用于人类或动物的临床诊断或治疗,非药用,非食用。
中文


发表回复