别名:ATP-dependent RNA helicase SUPV3L1, mitochondrial, Suppressor of var1 3-like protein 1, SUV3-like protein 1, SUPV3L1, SUV3应用:WB,IHC,FCM
反应种属:Human, Mouse, Rat
规格:50μl/100μl
| Description |
|---|
| SUV3L1 is an ATPase and DNA/RNA helicase able to unwind DNA/DNA, DNA/RNA and RNA/RNA duplexes in the 5′-3′ direction. It may protect cells from apoptosis. |
| Specification | |
|---|---|
| Aliases | ATP-dependent RNA helicase SUPV3L1, mitochondrial, Suppressor of var1 3-like protein 1, SUV3-like protein 1, SUPV3L1, SUV3 |
| Entrez GeneID | 6832 |
| Swissprot | Q8IYB8 |
| WB Predicted band size | 88.0kDa |
| Host/Isotype | Rabbit IgG |
| Storage | Store at 4°C short term. Aliquot and store at -20°C long term. Avoid freeze/thaw cycles. |
| Species Reactivity | Human, Mouse, Rat |
| Immunogen | This SUPV3L1 antibody is generated from rabbits immunized with a KLH conjugated synthetic peptide between 93-121 amino acids from the N-terminal region of human SUPV3L1. |
| Formulation | Purified polyclonal antibody supplied in PBS with 0.05% sodium azide. This antibody is purified through a protein A column, followed by peptide affinity purification. |
| Application | |
|---|---|
| WB | 1/1000 |
| IHC | 1/100-1/500 |
| FCM | 1/10-1/50 |
![]() |
Western blot analysis of lysates from SW620, PC-3 cell line, mouse kidney, rat kidney tissue lysate (from left to right), using SUPV3L1 Antibody (N-term)(Cat. #P32865). P32865 was diluted at 1:1000 at each lane. A goat anti-rabbit IgG H&L(HRP) at 1:10000 dilution was used as the secondary antibody. Lysates at 20ug per lane. |
![]() |
Western blot analysis of SUPV3L1 Antibody (N-term) (Cat. #P32865) in K562 cell line lysates (35ug/lane). SUPV3L1 (arrow) was detected using the purified Pab. |
![]() |
SUPV3L1 Antibody (N-term) (Cat. #P32865) flow cytometric analysis of K562 cells (right histogram) compared to a negative control cell (left histogram).FITC-conjugated goat-anti-rabbit secondary antibodies were used for the analysis. |
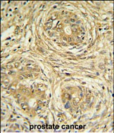
![]() |
SUPV3L1 Antibody (N-term) (Cat. #P32865) IHC analysis in formalin fixed and paraffin embedded prostate carcinoma followed by peroxidase conjugation of the secondary antibody and DAB staining. This data demonstrates the use of the SUPV3L1 Antibody (N-term) for immunohistochemistry. Clinical relevance has not been evaluated. |
本公司的所有产品仅用于科学研究或者工业应用等非医疗目的,不可用于人类或动物的临床诊断或治疗,非药用,非食用。
暂无评论
本公司的所有产品仅用于科学研究或者工业应用等非医疗目的,不可用于人类或动物的临床诊断或治疗,非药用,非食用。
中文




发表回复