别名:Synapsin-3, Synapsin III, SYN3应用:WB,IHC
反应种属:Human
规格:50μl/100μl
| Description |
|---|
| This gene is a member of the synapsin gene family. Synapsins encode neuronal phosphoproteins which associate with the cytoplasmic surface of synaptic vesicles. Family members are characterized by common protein domains, and they are implicated in synaptogenesis and the modulation of neurotransmitter release, suggesting a potential role in several neuropsychiatric diseases. The protein encoded by this gene shares the synapsin family domain model, with domains A, C, and E exhibiting the highest degree of conservation. The protein contains a unique domain J, located between domains C and E. Based on this gene’s localization to 22q12.3, a possible schizophrenia susceptibility locus, and the established neurobiological roles of the synapsins, this family member may represent a candidate gene for schizophrenia. The TIMP3 gene is located within an intron of this gene and is transcribed in the opposite direction. |
| Specification | |
|---|---|
| Aliases | Synapsin-3, Synapsin III, SYN3 |
| Entrez GeneID | 8224 |
| Swissprot | O14994 |
| WB Predicted band size | 63.3kDa |
| Host/Isotype | Rabbit IgG |
| Storage | Store at 4°C short term. Aliquot and store at -20°C long term. Avoid freeze/thaw cycles. |
| Species Reactivity | Human |
| Immunogen | This SYN3 antibody is generated from rabbits immunized with a KLH conjugated synthetic peptide between 363-388 amino acids from the Central region of human SYN3. |
| Formulation | Purified polyclonal antibody supplied in PBS with 0.05% sodium azide. This antibody is purified through a protein A column, followed by peptide affinity purification. |
| Application | |
|---|---|
| WB | 1/1000 |
| IHC | 1/100-1/500 |
![]() |
SYN3 Antibody (Center) (Cat. #P30713) western blot analysis in NCI-H460 cell line lysates (15ug/lane).This demonstrates the SYN3 antibody detected the SYN3 protein (arrow). |
![]() |
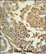
SYN3 Antibody (Center) (Cat. #P30713) immunohistochemistry analysis in formalin fixed and paraffin embedded human testis tissue followed by peroxidase conjugation of the secondary antibody and DAB staining. This data demonstrates the use of the SYN3 Antibody (Center) for immunohistochemistry. Clinical relevance has not been evaluated. |
本公司的所有产品仅用于科学研究或者工业应用等非医疗目的,不可用于人类或动物的临床诊断或治疗,非药用,非食用。
暂无评论
本公司的所有产品仅用于科学研究或者工业应用等非医疗目的,不可用于人类或动物的临床诊断或治疗,非药用,非食用。
中文


发表回复