别名:SYP; Synaptophysin; Major synaptic vesicle protein p38应用:WB,IHC,ICC
反应种属:Human,Mouse,Rat
规格:50μl/100μl
| Description |
|---|
| SYP Possibly involved in structural functions as organizing other membrane components or in targeting the vesicles to the plasma membrane. Involved in the regulation of short-term and long-term synaptic plasticity. Belongs to the synaptophysin/synaptobrevin family. Homohexamer or homotetramer. Note: This description may include information from UniProtKB. |
| Specification | |
|---|---|
| Aliases | SYP; Synaptophysin; Major synaptic vesicle protein p38 |
| Entrez GeneID | 6855 |
| Swissprot | P08247 |
| WB Predicted band size | Calculated MW: 34 kDa; Observed MW: 38 kDa |
| Host/Isotype | Rabbit IgG |
| Storage | Store at 4°C short term. Aliquot and store at -20°C long term. Avoid freeze/thaw cycles. |
| Species Reactivity | Human,Mouse,Rat |
| Immunogen | A synthesized peptide derived from human Synaptophysin |
| Formulation | Rabbit IgG in phosphate buffered saline , pH 7.4, 150mM NaCl, 0.02% sodium azide and 50% glycerol. |
| Application | |
|---|---|
| WB | 1/500-1/1000 |
| IHC | 1/50-1/100 |
| ICC | 1/50-1/200 |
![]() |
Western blot analysis of Synaptophysin in SH-SY5Y lysates using Synaptophysin antibody. |
![]() |
Immunofluorescence analysis of Synaptophysin in PC-12 using Synaptophysin antibody. |
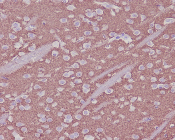
![]() |
Immunohistochemistry analysis of paraffin-embedded mouse brain using Synaptophysin antibody.High-pressure and temperature Sodium Citrate pH 6.0 was used for antigen retrieval. |
本公司的所有产品仅用于科学研究或者工业应用等非医疗目的,不可用于人类或动物的临床诊断或治疗,非药用,非食用。
暂无评论
本公司的所有产品仅用于科学研究或者工业应用等非医疗目的,不可用于人类或动物的临床诊断或治疗,非药用,非食用。
中文



发表回复