别名:应用:IHC
反应种属:Human
规格:50μl/100μl
| Description |
|---|
| Synaptopodin-2 is a protein that in humans is encoded by the SYNPO2 gene. Has an actin-binding and actin-bundling activity. Synaptopodin is a proline-rich, actin-associated protein expressed in mature dendritic spines and renal podocytes. Synaptopodin appears to play a role in the actin-based plasticity of spines by linking actin to the spine apparatus. |
| Specification | |
|---|---|
| Swissprot | Q9UMS6 |
| Host/Isotype | Rabbit IgG |
| Storage | Store at 4°C short term. Aliquot and store at -20°C long term. Avoid freeze/thaw cycles. |
| Species Reactivity | Human |
| Immunogen | Synthetic peptide of human SYNPO2 |
| Formulation | pH7.4 PBS, 0.05% NaN3, 40% Glycerol |
| Application | |
|---|---|
| IHC | 1/25-1/100 |
| ELISA | 1/2000-1/5000 |
![]() |
The image is immunohistochemistry of paraffin-embedded Human brain tissue using P12258(SYNPO2 Antibody) at dilution 1/50. (Original magnification: ×200) |
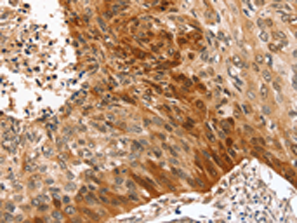
![]() |
The image is immunohistochemistry of paraffin-embedded Human esophagus cancer tissue using P12258(SYNPO2 Antibody) at dilution 1/50. (Original magnification: ×200) |
本公司的所有产品仅用于科学研究或者工业应用等非医疗目的,不可用于人类或动物的临床诊断或治疗,非药用,非食用。
暂无评论
本公司的所有产品仅用于科学研究或者工业应用等非医疗目的,不可用于人类或动物的临床诊断或治疗,非药用,非食用。
中文


发表回复