别名:Synaptophysin, Major synaptic vesicle protein p38, SYP应用:WB,IHC,ICC,FCM
反应种属:Human, Mouse
规格:50μl/100μl
| Description |
|---|
| Synaptophysin (p38) is an integral membrane protein of small synaptic vesicles in brain and endocrine cells.[supplied by OMIM]. |
| Specification | |
|---|---|
| Aliases | Synaptophysin, Major synaptic vesicle protein p38, SYP |
| Entrez GeneID | 6855 |
| Swissprot | P08247 |
| WB Predicted band size | 33.8kDa |
| Host/Isotype | Rabbit IgG |
| Storage | Store at 4°C short term. Aliquot and store at -20°C long term. Avoid freeze/thaw cycles. |
| Species Reactivity | Human, Mouse |
| Immunogen | This SYP antibody is generated from rabbits immunized with a KLH conjugated synthetic peptide between 225-253 amino acids from the C-terminal region of human SYP. |
| Formulation | Purified polyclonal antibody supplied in PBS with 0.05% sodium azide. This antibody is purified through a protein A column, followed by peptide affinity purification. |
| Application | |
|---|---|
| WB | 1/1000-1/2000 |
| IHC | 1/100-1/500 |
| ICC | 1/100 |
| FCM | 1/50 |
![]() |
SYP Antibody (C-term) (Cat. #P32298) western blot analysis in mouse brain and cerebellum tissue lysates (35ug/lane).This demonstrates the SYP antibody detected the SYP protein (arrow). |
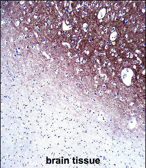
![]() |
SYP Antibody (C-term) immunohistochemistry analysis in formalin fixed and paraffin embedded human brain tissue followed by peroxidase conjugation of the secondary antibody and DAB staining.This data demonstrates the use of SYP Antibody (C-term) for immunohistochemistry. Clinical relevance has not been evaluated. |
本公司的所有产品仅用于科学研究或者工业应用等非医疗目的,不可用于人类或动物的临床诊断或治疗,非药用,非食用。
暂无评论
本公司的所有产品仅用于科学研究或者工业应用等非医疗目的,不可用于人类或动物的临床诊断或治疗,非药用,非食用。
中文


发表回复