别名:Synaptotagmin-13, Synaptotagmin XIII, SytXIII, SYT13, KIAA1427应用:WB,IHC
反应种属:Human
规格:50μl/100μl
| Description |
|---|
| SYT13 belongs to the large synaptotagmin protein family. All synaptotagmins show type I membrane topology, with an extracellular N terminus, a single transmembrane region, and a cytoplasmic C terminus containing tandem C2 domains. Major functions of synaptotagmins include vesicular traffic, exocytosis, and secretion. |
| Specification | |
|---|---|
| Aliases | Synaptotagmin-13, Synaptotagmin XIII, SytXIII, SYT13, KIAA1427 |
| Entrez GeneID | 57586 |
| Swissprot | Q7L8C5 |
| WB Predicted band size | 46.9kDa |
| Host/Isotype | Rabbit IgG |
| Storage | Store at 4°C short term. Aliquot and store at -20°C long term. Avoid freeze/thaw cycles. |
| Species Reactivity | Human |
| Immunogen | This SYT13 antibody is generated from rabbits immunized with a KLH conjugated synthetic peptide between 25-52 amino acids from the N-terminal region of human SYT13. |
| Formulation | Purified polyclonal antibody supplied in PBS with 0.05% sodium azide. This antibody is purified through a protein A column, followed by peptide affinity purification. |
| Application | |
|---|---|
| WB | 1/1000 |
| IHC | 1/100-1/500 |
![]() |
SYT13 Antibody (N-term) (Cat.#P30686) western blot analysis in K562 cell line lysates (35ug/lane).This demonstrates the SYT13 antibody detected the SYT13 protein (arrow). |
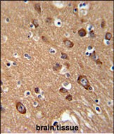
![]() |
SYT13 Antibody (N-term) (Cat. #P30686) immunohistochemistry analysis in formalin fixed and paraffin embedded human brain tissue followed by peroxidase conjugation of the secondary antibody and DAB staining. This data demonstrates the use of the SYT13 Antibody (N-term) for immunohistochemistry. Clinical relevance has not been evaluated. |
本公司的所有产品仅用于科学研究或者工业应用等非医疗目的,不可用于人类或动物的临床诊断或治疗,非药用,非食用。
暂无评论
本公司的所有产品仅用于科学研究或者工业应用等非医疗目的,不可用于人类或动物的临床诊断或治疗,非药用,非食用。
中文


发表回复