别名:Transmembrane protein 150A, Transmembrane protein 150, TMEM150A, TMEM150应用:WB,IHC,FCM
反应种属:Human
规格:50μl/100μl
| Description |
|---|
| T150A is possible role in fasting-induced catabolism. |
| Specification | |
|---|---|
| Aliases | Transmembrane protein 150A, Transmembrane protein 150, TMEM150A, TMEM150 |
| Entrez GeneID | 129303 |
| Swissprot | Q86TG1 |
| WB Predicted band size | 28.8kDa |
| Host/Isotype | Rabbit IgG |
| Storage | Store at 4°C short term. Aliquot and store at -20°C long term. Avoid freeze/thaw cycles. |
| Species Reactivity | Human |
| Immunogen | This T150A antibody is generated from rabbits immunized with a KLH conjugated synthetic peptide between 81-108 amino acids from the Central region of human T150A. |
| Formulation | Purified polyclonal antibody supplied in PBS with 0.05% sodium azide. This antibody is purified through a protein A column, followed by peptide affinity purification. |
| Application | |
|---|---|
| WB | 1/1000 |
| IHC | 1/100-1/500 |
| FCM | 1/10-1/50 |
![]() |
Western blot analysis of T150A Antibody (Center) (Cat. #P30486) in Jurkat cell line lysates (35ug/lane). T150A (arrow) was detected using the purified Pab. |
![]() |
T150A Antibody (Center) (Cat. #P30486) flow cytometric analysis of Jurkat cells (right histogram) compared to a negative control cell (left histogram).FITC-conjugated goat-anti-rabbit secondary antibodies were used for the analysis. |
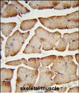
![]() |
Formalin-fixed and paraffin-embedded human skeletal muscle reacted with T150A Antibody (Center), which was peroxidase-conjugated to the secondary antibody, followed by DAB staining. This data demonstrates the use of this antibody for immunohistochemistry; clinical relevance has not been evaluated. |
本公司的所有产品仅用于科学研究或者工业应用等非医疗目的,不可用于人类或动物的临床诊断或治疗,非药用,非食用。
暂无评论
本公司的所有产品仅用于科学研究或者工业应用等非医疗目的,不可用于人类或动物的临床诊断或治疗,非药用,非食用。
中文



发表回复