别名:Tandem C2 domains nuclear protein, Membrane targeting tandem C2 domain-containing protein 1, Tandem C2 protein in nucleus, Tac2-N, TC2N, C14orf47, MTAC2D1应用:WB,IHC
反应种属:Human, Mouse
规格:50μl/100μl
| Specification | |
|---|---|
| Aliases | Tandem C2 domains nuclear protein, Membrane targeting tandem C2 domain-containing protein 1, Tandem C2 protein in nucleus, Tac2-N, TC2N, C14orf47, MTAC2D1 |
| Entrez GeneID | 123036 |
| Swissprot | Q8N9U0 |
| WB Predicted band size | 55.3kDa |
| Host/Isotype | Rabbit IgG |
| Storage | Store at 4°C short term. Aliquot and store at -20°C long term. Avoid freeze/thaw cycles. |
| Species Reactivity | Human, Mouse |
| Immunogen | This TAC2N antibody is generated from rabbits immunized with a KLH conjugated synthetic peptide between 3-30 amino acids from the N-terminal region of human TAC2N. |
| Formulation | Purified polyclonal antibody supplied in PBS with 0.05% sodium azide. This antibody is purified through a protein A column, followed by peptide affinity purification. |
| Application | |
|---|---|
| WB | 1/1000 |
| IHC | 1/100-1/500 |
![]() |
Western blot analysis of TAC2N Antibody (N-term) (Cat. #P30498) in mouse NIH-3T3 cell line lysates (35ug/lane). TAC2N (arrow) was detected using the purified Pab. |
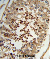
![]() |
Formalin-fixed and paraffin-embedded human testis tissue reacted with TAC2N Antibody (N-term), which was peroxidase-conjugated to the secondary antibody, followed by DAB staining. This data demonstrates the use of this antibody for immunohistochemistry; clinical relevance has not been evaluated. |
本公司的所有产品仅用于科学研究或者工业应用等非医疗目的,不可用于人类或动物的临床诊断或治疗,非药用,非食用。
暂无评论
本公司的所有产品仅用于科学研究或者工业应用等非医疗目的,不可用于人类或动物的临床诊断或治疗,非药用,非食用。
中文


发表回复