别名:Transcription initiation factor TFIID subunit 2, 150 kDa cofactor of initiator function, RNA polymerase II TBP-associated factor subunit B, TBP-associated factor 150 kDa, Transcription initiation factor TFIID 150 kDa subunit, TAF(II)150, TAFII-150, TAFII150, TAF2, CIF150, TAF2B应用:WB,IHC,FCM
反应种属:Human, Mouse
规格:50μl/100μl
| Description |
|---|
| Initiation of transcription by RNA polymerase II requires the activities of more than 70 polypeptides. The protein that coordinates these activities is transcription factor IID (TFIID), which binds to the core promoter to position the polymerase properly, serves as the scaffold for assembly of the remainder of the transcription complex, and acts as a channel for regulatory signals. TFIID is composed of the TATA-binding protein (TBP) and a group of evolutionarily conserved proteins known as TBP-associated factors or TAFs. TAFs may participate in basal transcription, serve as coactivators, function in promoter recognition or modify general transcription factors (GTFs) to facilitate complex assembly and transcription initiation. This gene encodes one of the larger subunits of TFIID that is stably associated with the TFIID complex. It contributes to interactions at and downstream of the transcription initiation site, interactions that help determine transcription complex response to activators. |
| Specification | |
|---|---|
| Aliases | Transcription initiation factor TFIID subunit 2, 150 kDa cofactor of initiator function, RNA polymerase II TBP-associated factor subunit B, TBP-associated factor 150 kDa, Transcription initiation factor TFIID 150 kDa subunit, TAF(II)150, TAFII-150, TAFII150, TAF2, CIF150, TAF2B |
| Entrez GeneID | 6873 |
| Swissprot | Q6P1X5 |
| WB Predicted band size | 137.0kDa |
| Host/Isotype | Rabbit IgG |
| Storage | Store at 4°C short term. Aliquot and store at -20°C long term. Avoid freeze/thaw cycles. |
| Species Reactivity | Human, Mouse |
| Immunogen | This TAF2 antibody is generated from rabbits immunized with a KLH conjugated synthetic peptide between 1152-1180 amino acids from the C-terminal region of human TAF2. |
| Formulation | Purified polyclonal antibody supplied in PBS with 0.05% sodium azide. This antibody is purified through a protein A column, followed by peptide affinity purification. |
| Application | |
|---|---|
| WB | 1/1000 |
| IHC | 1/100-1/500 |
| FCM | 1/10-1/50 |
![]() |
Western blot analysis of lysates from HT-29, Jurkat, KG-1, PC-3 cell line (from left to right), using TAF2 Antibody (C-Term)(Cat. #P32619). P32619 was diluted at 1:1000 at each lane. A goat anti-rabbit IgG H&L(HRP) at 1:5000 dilution was used as the secondary antibody. Lysates at 35ug per lane. |
![]() |
TAF2 Antibody (C-Term) (Cat. #P32619) flow cytometric analysis of MCF-7 cells (right histogram) compared to a negative control cell (left histogram).FITC-conjugated goat-anti-rabbit secondary antibodies were used for the analysis. |
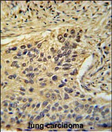
![]() |
TAF2 Antibody (C-Term) (Cat. #P32619) immunohistochemistry analysis in formalin fixed and paraffin embedded human lung carcinoma followed by peroxidase conjugation of the secondary antibody and DAB staining. This data demonstrates the use of the TAF2 Antibody (C-Term) for immunohistochemistry. Clinical relevance has not been evaluated. |
本公司的所有产品仅用于科学研究或者工业应用等非医疗目的,不可用于人类或动物的临床诊断或治疗,非药用,非食用。
暂无评论
本公司的所有产品仅用于科学研究或者工业应用等非医疗目的,不可用于人类或动物的临床诊断或治疗,非药用,非食用。
中文



发表回复