别名:TRAF family member-associated NF-kappa-B activator, TRAF-interacting protein, I-TRAF, TANK, ITRAF, TRAF2应用:WB,IHC,FCM
反应种属:Human
规格:50μl/100μl
| Specification | |
|---|---|
| Aliases | TRAF family member-associated NF-kappa-B activator, TRAF-interacting protein, I-TRAF, TANK, ITRAF, TRAF2 |
| Entrez GeneID | 10010 |
| Swissprot | Q92844 |
| WB Predicted band size | 47.8kDa |
| Host/Isotype | Rabbit IgG |
| Storage | Store at 4°C short term. Aliquot and store at -20°C long term. Avoid freeze/thaw cycles. |
| Species Reactivity | Human |
| Immunogen | This TANK antibody is generated from rabbits immunized with a KLH conjugated synthetic peptide between 88-114 amino acids from the Central region of human TANK. |
| Formulation | Purified polyclonal antibody supplied in PBS with 0.05% sodium azide. This antibody is purified through a protein A column, followed by peptide affinity purification. |
| Application | |
|---|---|
| WB | 1/1000 |
| IHC | 1/100-1/500 |
| FCM | 1/10-1/50 |
![]() |
TANK Antibody (Center) (Cat. #P30773) western blot analysis in WiDr cell line lysates (35ug/lane).This demonstrates the TANK antibody detected the TANK protein (arrow). |
![]() |
TANK Antibody (Center) (Cat. #P30773) flow cytometric analysis of WiDr cells (right histogram) compared to a negative control cell (left histogram).FITC-conjugated goat-anti-rabbit secondary antibodies were used for the analysis. |
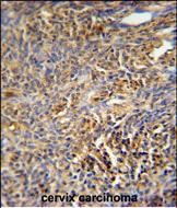
![]() |
TANK Antibody (Center) (Cat. #P30773) immunohistochemistry analysis in formalin fixed and paraffin embedded human cervix carcinoma followed by peroxidase conjugation of the secondary antibody and DAB staining. This data demonstrates the use of the TANK Antibody (Center) for immunohistochemistry. Clinical relevance has not been evaluated. |
本公司的所有产品仅用于科学研究或者工业应用等非医疗目的,不可用于人类或动物的临床诊断或治疗,非药用,非食用。
暂无评论
本公司的所有产品仅用于科学研究或者工业应用等非医疗目的,不可用于人类或动物的临床诊断或治疗,非药用,非食用。
中文



发表回复