别名:MAPT; MAPTL; MTBT1; TAU; Microtubule-associated protein tau; Neurofibrillary tangle protein; Paired helical filament-tau; PHF-tau应用:WB,IHC,ICC
反应种属:Human,Mouse,Rat
规格:50μl/100μl
| Description |
|---|
| This gene encodes the microtubule-associated protein tau (MAPT) whose transcript undergoes complex, regulated alternative splicing, giving rise to several mRNA species. MAPT transcripts are differentially expressed in the nervous system, depending on stage of neuronal maturation and neuron type. |
| Specification | |
|---|---|
| Aliases | MAPT; MAPTL; MTBT1; TAU; Microtubule-associated protein tau; Neurofibrillary tangle protein; Paired helical filament-tau; PHF-tau |
| Entrez GeneID | 4137 |
| Swissprot | P10636 |
| WB Predicted band size | Calculated MW: 79 kDa; Observed MW: 79 kDa |
| Host/Isotype | Rabbit IgG |
| Storage | Store at 4°C short term. Aliquot and store at -20°C long term. Avoid freeze/thaw cycles. |
| Species Reactivity | Human,Mouse,Rat |
| Immunogen | The antiserum was produced against synthesized peptide derived from human Tau. AA range:496-545 |
| Formulation | Liquid in PBS containing 50% glycerol, 0.5% BSA and 0.02% sodium azide, pH 7.3. |
| Application | |
|---|---|
| WB | 1/500-1/1000 |
| IHC | 1/50-1/100 |
| ICC | 1/50-1/200 |
| ELISA | 1/10000 |
![]() |
Western blot analysis of Tau in various lysates using Tau antibody. |
![]() |
Western blot analysis of Tau in mouse brain using Tau antibody. The lane on the right is blocked with the synthesized peptide. |
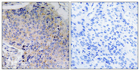
![]() |
Immunohistochemistry analysis of paraffin-embedded Human lung cancer using Tau antibody.High-pressure and temperature Tris-EDTA pH 8.0 was used for antigen retrieval. Sample with blocking peptide on the right. |
本公司的所有产品仅用于科学研究或者工业应用等非医疗目的,不可用于人类或动物的临床诊断或治疗,非药用,非食用。
暂无评论
本公司的所有产品仅用于科学研究或者工业应用等非医疗目的,不可用于人类或动物的临床诊断或治疗,非药用,非食用。
中文



发表回复