别名:Tubulin-specific chaperone cofactor E-like protein, EL, Leucine-rich repeat-containing protein 35, TBCEL, LRRC35应用:WB,IHC
反应种属:Human
规格:50μl/100μl
| Description |
|---|
| TBCEL acts as a regulator of tubulin stability. |
| Specification | |
|---|---|
| Aliases | Tubulin-specific chaperone cofactor E-like protein, EL, Leucine-rich repeat-containing protein 35, TBCEL, LRRC35 |
| Entrez GeneID | 219899 |
| Swissprot | Q5QJ74 |
| WB Predicted band size | 48.2kDa |
| Host/Isotype | Rabbit IgG |
| Storage | Store at 4°C short term. Aliquot and store at -20°C long term. Avoid freeze/thaw cycles. |
| Species Reactivity | Human |
| Immunogen | This TBCEL antibody is generated from rabbits immunized with a KLH conjugated synthetic peptide between 385-413 amino acids from the C-terminal region of human TBCEL. |
| Formulation | Purified polyclonal antibody supplied in PBS with 0.05% sodium azide. This antibody is purified through a protein A column, followed by peptide affinity purification. |
| Application | |
|---|---|
| WB | 1/1000 |
| IHC | 1/100-1/500 |
![]() |
TBCEL Antibody (C-term) (Cat. #P31085) western blot analysis in 293 cell line lysates (35ug/lane).This demonstrates the TBCEL antibody detected the TBCEL protein (arrow). |
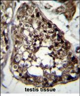
![]() |
TBCEL Antibody (C-term) (Cat. #P31085)immunohistochemistry analysis in formalin fixed and paraffin embedded human testis tissue followed by peroxidase conjugation of the secondary antibody and DAB staining.This data demonstrates the use of TBCEL Antibody (C-term) for immunohistochemistry. Clinical relevance has not been evaluated. |
本公司的所有产品仅用于科学研究或者工业应用等非医疗目的,不可用于人类或动物的临床诊断或治疗,非药用,非食用。
暂无评论
本公司的所有产品仅用于科学研究或者工业应用等非医疗目的,不可用于人类或动物的临床诊断或治疗,非药用,非食用。
中文


发表回复