别名:TLF; TLP; STUD; TRF2; MGC:8389; MGC:9620应用:WB,IHC
反应种属:Human, Mouse
规格:50μl/100μl
| Description |
|---|
| This gene encodes a member of the TATA box-binding protein family. TATA box-binding proteins play a critical role in transcription by RNA polymerase II as components of the transcription factor IID (TFIID) complex. The encoded protein does not bind to the TATA box and initiates transcription from TATA-less promoters. This gene plays a critical role in spermatogenesis, and single nucleotide polymorphisms in this gene may be associated with male infertility. Alternatively spliced transcript variants have been observed for this gene, and a pseudogene of this gene is located on the long arm of chromosome 3. |
| Specification | |
|---|---|
| Aliases | TLF; TLP; STUD; TRF2; MGC:8389; MGC:9620 |
| Swissprot | P62380 |
| WB Predicted band size | 21 kDa |
| Host/Isotype | Rabbit IgG |
| Storage | Store at 4°C short term. Aliquot and store at -20°C long term. Avoid freeze/thaw cycles. |
| Species Reactivity | Human, Mouse |
| Immunogen | Fusion protein of human TBPL1 |
| Formulation | pH7.4 PBS, 0.05% NaN3, 40% Glycerol |
| Application | |
|---|---|
| WB | 1/500-1/2000 |
| IHC | 1/50-1/300 |
| ELISA | 1/5000-1/10000 |
![]() |
Gel: 12%SDS-PAGE, Lysate: 40 μg, Lane: Mouse brain tissue lysate, Primary antibody: P03027(TBPL1 Antibody) at dilution 1/400, Secondary antibody: Goat anti rabbit IgG at 1/8000 dilution, Exposure time: 10 seconds |
![]() |
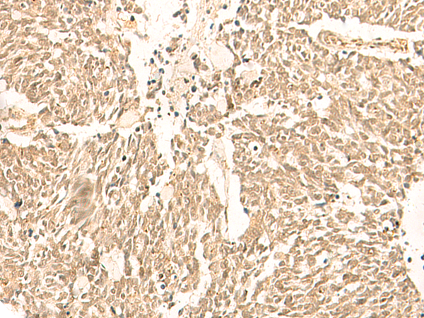
The image is immunohistochemistry of paraffin-embedded Human lung cancer tissue using P03027(TBPL1 Antibody) at dilution 1/50. (Original magnification: ×200) |
![]() |
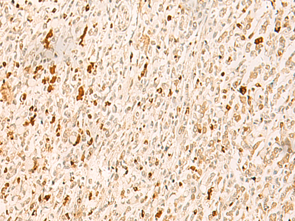
The image is immunohistochemistry of paraffin-embedded Human gastric cancer tissue using P03027(TBPL1 Antibody) at dilution 1/50. (Original magnification: ×200) |
本公司的所有产品仅用于科学研究或者工业应用等非医疗目的,不可用于人类或动物的临床诊断或治疗,非药用,非食用。
暂无评论
本公司的所有产品仅用于科学研究或者工业应用等非医疗目的,不可用于人类或动物的临床诊断或治疗,非药用,非食用。
中文



发表回复