别名:Hulp1; NULP1; FKSG26; PRO2620; hKIAA1049应用:WB,IHC
反应种属:Human, Mouse
规格:50μl/100μl
| Description |
|---|
| May play a role in cell death control. Acts as a transcriptional repressor. Has been shown to repress transcription of SRF in vitro and so may play a role in heart development. |
| Specification | |
|---|---|
| Aliases | Hulp1; NULP1; FKSG26; PRO2620; hKIAA1049 |
| Swissprot | Q9BQ70 |
| WB Predicted band size | 77 kDa |
| Host/Isotype | Rabbit IgG |
| Storage | Store at 4°C short term. Aliquot and store at -20°C long term. Avoid freeze/thaw cycles. |
| Species Reactivity | Human, Mouse |
| Immunogen | Fusion protein of human TCF25 |
| Formulation | pH7.4 PBS, 0.05% NaN3, 40% Glycerol |
| Application | |
|---|---|
| WB | 1/500-1/2000 |
| IHC | 1/40-1/200 |
| ELISA | 1/5000-1/10000 |
![]() |
Gel: 8%SDS-PAGE, Lysate: 40 μg, Lane 1-6: Hela cell, Jurkat cell, NIH/3T3 cell, Human fetal brain tissue, 293T cell, K562 cell lysates, Primary antibody: P02785(TCF25 Antibody) at dilution 1/250, Secondary antibody: Goat anti rabbit IgG at 1/8000 dilution, Exposure time: 5 seconds |
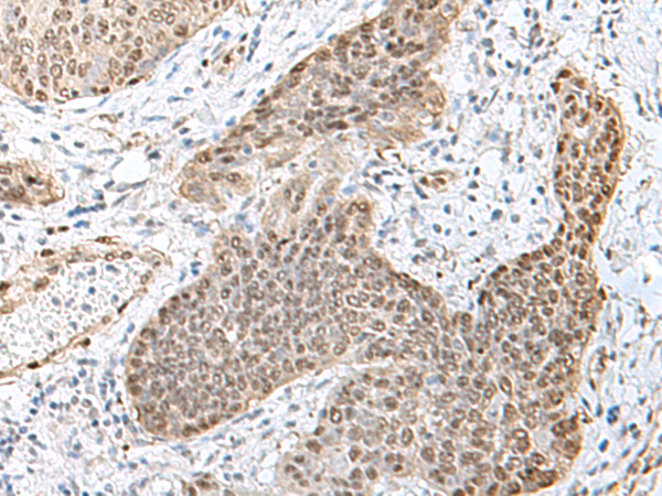
![]() |
The image is immunohistochemistry of paraffin-embedded Human esophagus cancer tissue using P02785(TCF25 Antibody) at dilution 1/40. (Original magnification: ×200) |
![]() |
The image is immunohistochemistry of paraffin-embedded Human breast cancer tissue using P02785(TCF25 Antibody) at dilution 1/40. (Original magnification: ×200) |
本公司的所有产品仅用于科学研究或者工业应用等非医疗目的,不可用于人类或动物的临床诊断或治疗,非药用,非食用。
暂无评论
本公司的所有产品仅用于科学研究或者工业应用等非医疗目的,不可用于人类或动物的临床诊断或治疗,非药用,非食用。
中文



发表回复